Internship Physician ABC is an app designed for the interns in the emergency department. It addresses a number of common conditions, with the main points you should bring up the history, examination and what measures can be taken.
The app is organized by professions: medicine, surgery, gynecology, orthopedics and psychiatry.
In addition, you will find plenty of resources and tools medisinke calculators, antibiotics, algorithms, benchmarks, plaster technique, journal examples and ICD10 codes for all of the states mentioned.
There is a free trial version of the app if you want to test it first! It's called Internship Physician ABC trial and can be downloaded from the Android Market.
The following topics are covered in TurnusABC:
ABCD2 calculator
AV block
Abdominal Aortic Aneurysm
Abortion (spontaneous)
Abscess
Achilles Injury
Akromioclavicular (AC) dislocation
Acute abdomen
Acute scrotum
Elbow, humerus fracture
Elbow, pulled elbow
Anemia
Anion gap
Anion-gap
Anion-gap (visual)
Ankle, fracture
Ankle, ligament damage
Antibiotics in primary care
Aortic dissection
Arrhythmias
Atrial fibrillation
Azithromycin (Azitromax)
Bartholinitt
Appendicitis
Fire Damage
Hernia
Chest Pain
CHA2DS2Vasc
CHADS2
CT head
Cephalexin (Keflex)
Cefotaxime
Ceftriaxone
Cefuroxime (Zinacef)
Ciprofloxacin (Ciproxin)
Collar'n cuff (CC)
Delirium
Dermatome
Diabetes
Diverticulitis
Doxycycline (Doxylin)
Deep vein thrombosis
ECG
ECG, reference values
ECG Ruler
Ectopic pregnancy
Discharge summary
Epilepsy
Erysipelas
Erythromycin (Ery-Max)
Foreign body in the GI tract
Frost Damage
First Aid (CPR)
GCS
GFR Calculator
GFR calculator (visual)
Gallbladder inflammation
Gallstones
Gentamicin (Gensumycin)
Glasgow Coma Scale
Glasgow Coma Scale (visual)
Pregnancy
Gynecologic journal
HAS-BLED
CPR rhythm 100/min
CPR loop children
CPR loop adults
Haematemesis
Hemorrhoids
Myocardial
Heart Failure
Head injury
Adder bite
Humerus, fracture shaft
Hyponatremia
Hypothermia
Wrist, violations
Height children 0-5 years
Ileus
Admission Journal
Intox
Intox Acetaminophen
COPD
Clindamycin (Dalacin)
Cloxacillin (Diclocil)
Chloramphenicol
Knee, survey
Collar bone, fracture
Body Mass Index
Body mass index (visual)
Body Mass Index
Laboratory tests
Pneumonia
Pulmonary embolism
Femoral neck, fracture (FCF)
Ulcers
Warfarin dosing
Mastitis
Mecillinam (Selexid)
Melena
Meningitis
Metacarp, breach
Metacarpgips (kamgips)
Metronidazole (Flagyl)
NIH Stroke Scale
Neck injury
Nose, breach
Nosebleeds
Neurological examination
Nephrolithiasis
Kidney failure
Constipation
Ofloxacin
Opioids, equivalent daily doses
Osteomyelitis
Pancreatitis
Patient Info Head Injury
Paediatric journal
Penicillin
Pneumothorax
Psychiatric admission journal
Psychomotor development
Psychosis
Radiuslaske
Rectal bleeding
Rhabdomyolysis
Rib fracture
Back pain
X-ray abdomen
X-ray elbow
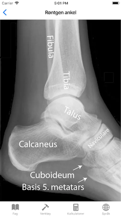
X-ray ankle
X-ray hip and pelvis
X-ray wrist
X håndrot
X-ray knee
X-ray shoulder
Chest X-ray
Salter-Harris classification
Scaphoideum, breach
Scaphoidgips
Sexual abuse
Self-harm
Sepsis
Septic arthritis
Shoulder, humerus fracture
Shoulder, dislocation
Stroke
Spirometry
Boot Gypsum
Suicidal Reviews
Suture
Preeclampsia
Sewing equal
Syncope
Acid and base disturbances
Wound
TIA
Tetracycline
Tobramycin (Nebcin)
Thumb Slot
Trimethoprim-sulfamethoxazole
Thrombolysis in STEMI
Thrombolysis in stroke
Forced Hospitalization
Forearm, fracture
Urinary infection
Vaginal Bleeding
Immunization
Weight children 0-5 years
Vertigo
Vital parameters
Wells score
The app is organized by professions: medicine, surgery, gynecology, orthopedics and psychiatry.
In addition, you will find plenty of resources and tools medisinke calculators, antibiotics, algorithms, benchmarks, plaster technique, journal examples and ICD10 codes for all of the states mentioned.
There is a free trial version of the app if you want to test it first! It's called Internship Physician ABC trial and can be downloaded from the Android Market.
The following topics are covered in TurnusABC:
ABCD2 calculator
AV block
Abdominal Aortic Aneurysm
Abortion (spontaneous)
Abscess
Achilles Injury
Akromioclavicular (AC) dislocation
Acute abdomen
Acute scrotum
Elbow, humerus fracture
Elbow, pulled elbow
Anemia
Anion gap
Anion-gap
Anion-gap (visual)
Ankle, fracture
Ankle, ligament damage
Antibiotics in primary care
Aortic dissection
Arrhythmias
Atrial fibrillation
Azithromycin (Azitromax)
Bartholinitt
Appendicitis
Fire Damage
Hernia
Chest Pain
CHA2DS2Vasc
CHADS2
CT head
Cephalexin (Keflex)
Cefotaxime
Ceftriaxone
Cefuroxime (Zinacef)
Ciprofloxacin (Ciproxin)
Collar'n cuff (CC)
Delirium
Dermatome
Diabetes
Diverticulitis
Doxycycline (Doxylin)
Deep vein thrombosis
ECG
ECG, reference values
ECG Ruler
Ectopic pregnancy
Discharge summary
Epilepsy
Erysipelas
Erythromycin (Ery-Max)
Foreign body in the GI tract
Frost Damage
First Aid (CPR)
GCS
GFR Calculator
GFR calculator (visual)
Gallbladder inflammation
Gallstones
Gentamicin (Gensumycin)
Glasgow Coma Scale
Glasgow Coma Scale (visual)
Pregnancy
Gynecologic journal
HAS-BLED
CPR rhythm 100/min
CPR loop children
CPR loop adults
Haematemesis
Hemorrhoids
Myocardial
Heart Failure
Head injury
Adder bite
Humerus, fracture shaft
Hyponatremia
Hypothermia
Wrist, violations
Height children 0-5 years
Ileus
Admission Journal
Intox
Intox Acetaminophen
COPD
Clindamycin (Dalacin)
Cloxacillin (Diclocil)
Chloramphenicol
Knee, survey
Collar bone, fracture
Body Mass Index
Body mass index (visual)
Body Mass Index
Laboratory tests
Pneumonia
Pulmonary embolism
Femoral neck, fracture (FCF)
Ulcers
Warfarin dosing
Mastitis
Mecillinam (Selexid)
Melena
Meningitis
Metacarp, breach
Metacarpgips (kamgips)
Metronidazole (Flagyl)
NIH Stroke Scale
Neck injury
Nose, breach
Nosebleeds
Neurological examination
Nephrolithiasis
Kidney failure
Constipation
Ofloxacin
Opioids, equivalent daily doses
Osteomyelitis
Pancreatitis
Patient Info Head Injury
Paediatric journal
Penicillin
Pneumothorax
Psychiatric admission journal
Psychomotor development
Psychosis
Radiuslaske
Rectal bleeding
Rhabdomyolysis
Rib fracture
Back pain
X-ray abdomen
X-ray elbow
X-ray ankle
X-ray hip and pelvis
X-ray wrist
X håndrot
X-ray knee
X-ray shoulder
Chest X-ray
Salter-Harris classification
Scaphoideum, breach
Scaphoidgips
Sexual abuse
Self-harm
Sepsis
Septic arthritis
Shoulder, humerus fracture
Shoulder, dislocation
Stroke
Spirometry
Boot Gypsum
Suicidal Reviews
Suture
Preeclampsia
Sewing equal
Syncope
Acid and base disturbances
Wound
TIA
Tetracycline
Tobramycin (Nebcin)
Thumb Slot
Trimethoprim-sulfamethoxazole
Thrombolysis in STEMI
Thrombolysis in stroke
Forced Hospitalization
Forearm, fracture
Urinary infection
Vaginal Bleeding
Immunization
Weight children 0-5 years
Vertigo
Vital parameters
Wells score
Show More