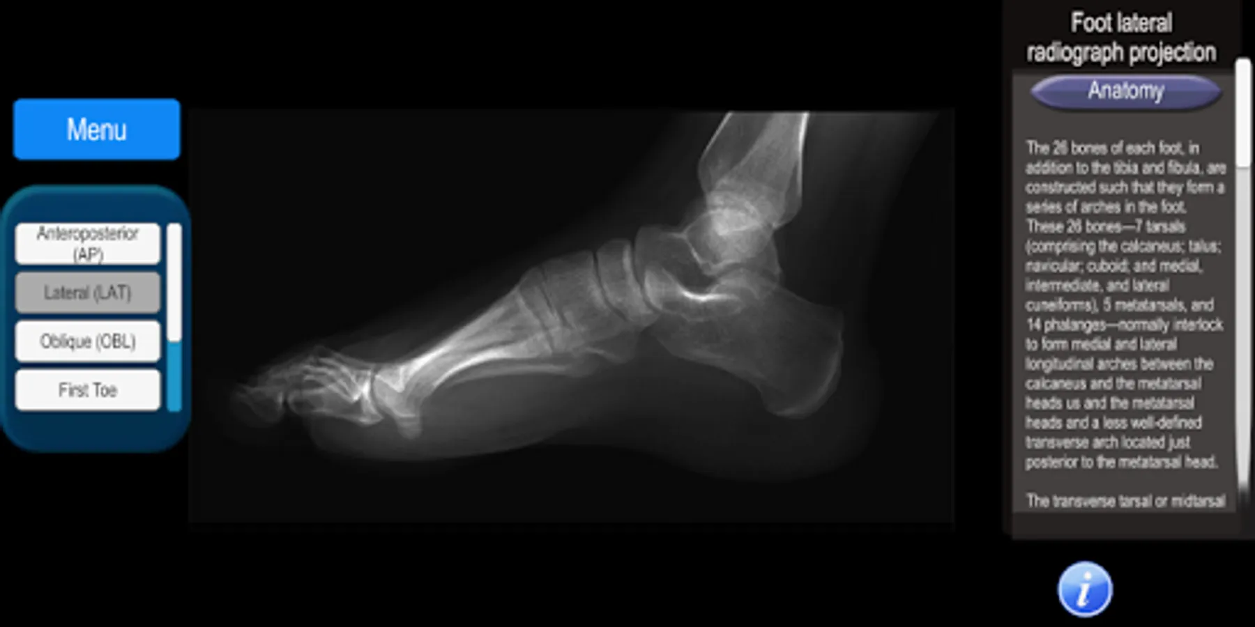
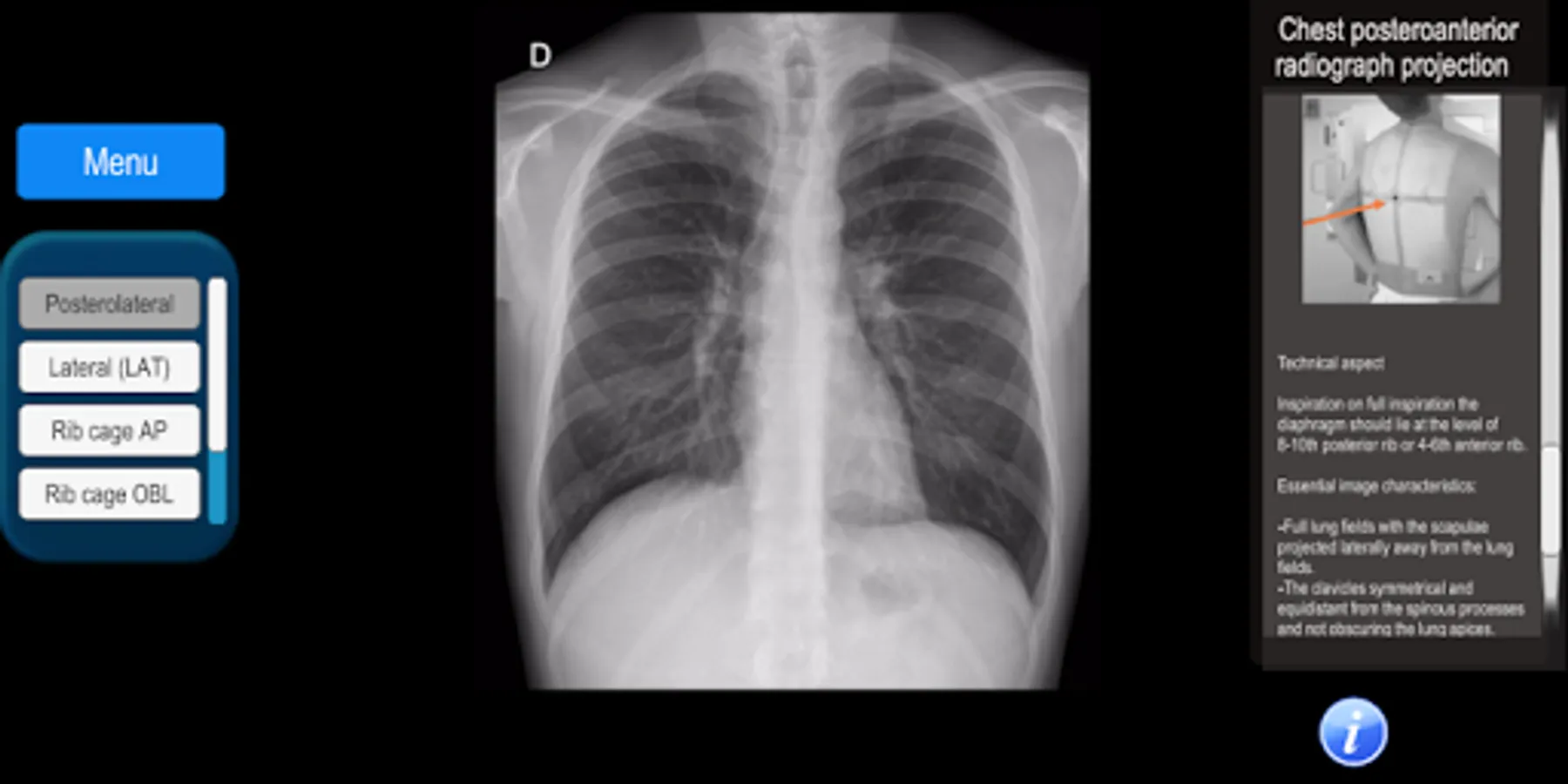
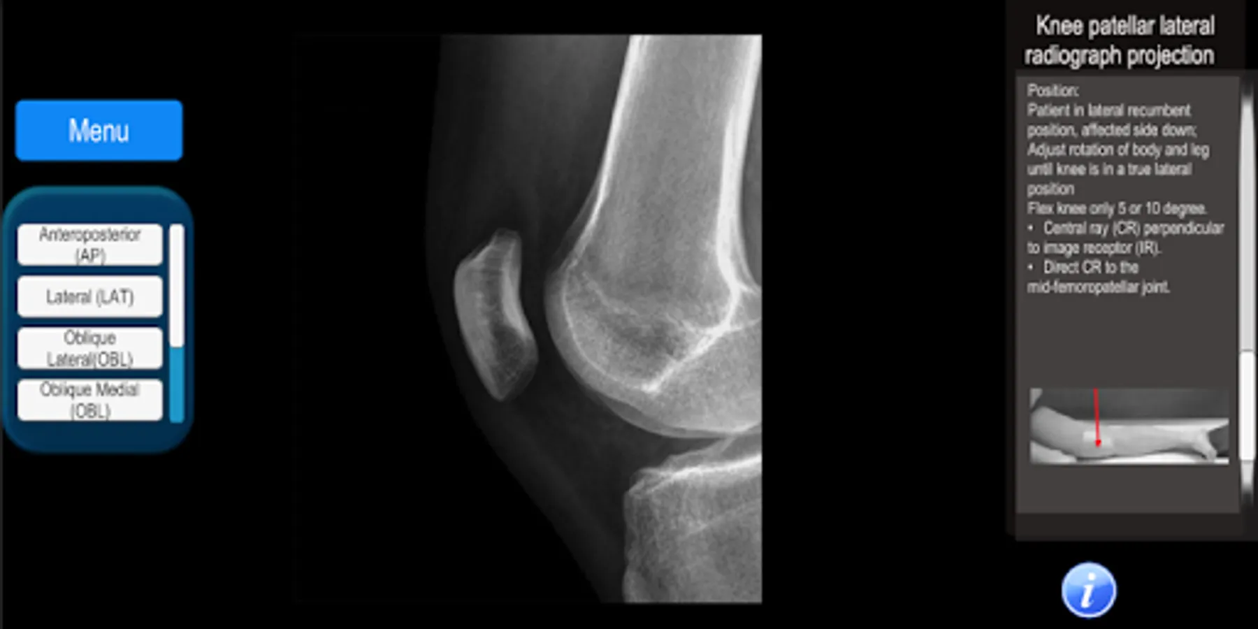
It is an app that allows the user to know the radiological projections that are used daily in a patient care. It covers all areas of the human body with more than 100 digital radiographs: skull, maxillofacial, spine, chest, abdomen, pelvis, upper and lower extremities.
They correspond to radiographs without pathological alterations, which makes it easier for health personnel to recognize the pathologies and choose the appropriate projections for each area.
The anatomy of the studied area is described, as well as the technique used for positioning the radiographic projection.
It allows the user to zoom in or out of the radiographic image.
It is intended for doctors, radiologists, dentists, medical technologists, medical students and for all interested in this matter.
They correspond to radiographs without pathological alterations, which makes it easier for health personnel to recognize the pathologies and choose the appropriate projections for each area.
The anatomy of the studied area is described, as well as the technique used for positioning the radiographic projection.
It allows the user to zoom in or out of the radiographic image.
It is intended for doctors, radiologists, dentists, medical technologists, medical students and for all interested in this matter.
Show More