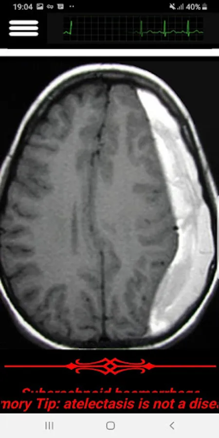
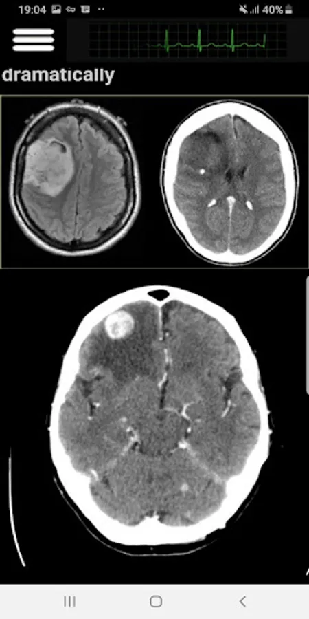
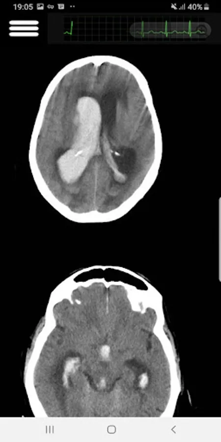
In this app, I covered the most important Head CT-Scan features that a practitioner face in his clinic or in an ER. Subjects like Hoe to read in an organize way, Blood, cisterns, Brain, Ventricles and bone.
This app is recommended for Emergency doctors, Medical Student, and nurses.
I would be grateful if you send me any feedback or any other topics that you want me to add to my app.
Enjoy
This app is recommended for Emergency doctors, Medical Student, and nurses.
I would be grateful if you send me any feedback or any other topics that you want me to add to my app.
Enjoy
Show More