AtlasK Conjuntivo e Osso icon

AtlasK Conjuntivo e Osso

Aztrau
Free
100+ downloads

About AtlasK Conjuntivo e Osso

Contemplate the Blades:
Mast cells
Nasal polyp
Liver
Hyaline Cartilage
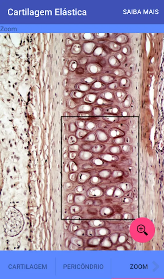
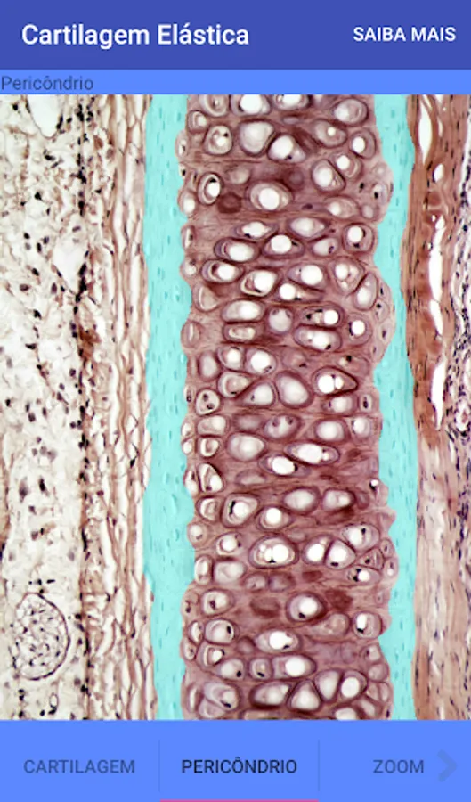
Elastic Cartilage
Wear Bone (Havers Systems)
Bone by descaling (Epiphyseal Disc)

AtlasK Conjuntivo e Osso Screenshots