A simple flashcards app to teach tuberculosis cases.
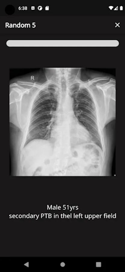
X-Rays are from tuberculosis patients showing various TB-consistent manifestations.
X-Ray dataset is from:
Yang, F.; Lu, P.X.; Deng, M.; Wáng, Y.X.J.; Rajaraman, S.; Xue, Z.; Folio, L.R.; Antani, S.K.; Jaeger, S. Annotations of Lung Abnormalities in the Shenzhen Chest X-ray Dataset for Computer-Aided Screening of Pulmonary Diseases. Data 2022, 7, 95. DOI: https://www.mdpi.com/2306-5729/7/7/95.
Jaeger S, Candemir S, Antani S, Wáng YX, Lu PX, Thoma G. Two public chest X-ray datasets for computer-aided screening of pulmonary diseases. Quant Imaging Med Surg. 2014 Dec;4(6):475-7. DOI: 10.3978/j.issn.2223-4292.2014.11.20. PMID: 25525580; PMCID: PMC4256233.
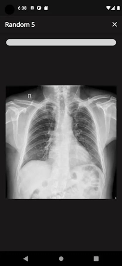
X-Rays are from tuberculosis patients showing various TB-consistent manifestations.
X-Ray dataset is from:
Yang, F.; Lu, P.X.; Deng, M.; Wáng, Y.X.J.; Rajaraman, S.; Xue, Z.; Folio, L.R.; Antani, S.K.; Jaeger, S. Annotations of Lung Abnormalities in the Shenzhen Chest X-ray Dataset for Computer-Aided Screening of Pulmonary Diseases. Data 2022, 7, 95. DOI: https://www.mdpi.com/2306-5729/7/7/95.
Jaeger S, Candemir S, Antani S, Wáng YX, Lu PX, Thoma G. Two public chest X-ray datasets for computer-aided screening of pulmonary diseases. Quant Imaging Med Surg. 2014 Dec;4(6):475-7. DOI: 10.3978/j.issn.2223-4292.2014.11.20. PMID: 25525580; PMCID: PMC4256233.
Show More