Angulus measure angles on images & video for you with intuitive operation.
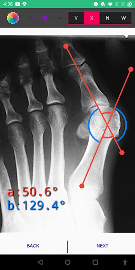
Has been developed in cooperation with physical therapists to replace goniometers, it is ideal for the measurement of hallux valgus and joint range of motion.
*Feature Summary*
- Save the measured image and send it by e-mail.
- Load images/movies taken before or on the fly
- Drag points on an image to measure an arbitrary angle
- Accurate measurement in 0.1-degree increment
- Add shooting date and comments for future reference
- Extract frames from a movie and measure angles on them
- Review/manage all record at once
*Use case for health care professionals*
- Measure angles of hallux valgus
- Measure and record the joint range of motion (ROM)
- Share results with other clinicians
- Materials for conferences
*Use case for patients and/or non-clinical professionals*
- Recording the progress of rehabilitation at home
- Sports motion analysis or gait analysis using video
Has been developed in cooperation with physical therapists to replace goniometers, it is ideal for the measurement of hallux valgus and joint range of motion.
*Feature Summary*
- Save the measured image and send it by e-mail.
- Load images/movies taken before or on the fly
- Drag points on an image to measure an arbitrary angle
- Accurate measurement in 0.1-degree increment
- Add shooting date and comments for future reference
- Extract frames from a movie and measure angles on them
- Review/manage all record at once
*Use case for health care professionals*
- Measure angles of hallux valgus
- Measure and record the joint range of motion (ROM)
- Share results with other clinicians
- Materials for conferences
*Use case for patients and/or non-clinical professionals*
- Recording the progress of rehabilitation at home
- Sports motion analysis or gait analysis using video
Show More