EasyCeph icon

EasyCeph

Dr. K. T. S. S. Rajajee
Free (in-app purchases)
5,000+ downloads

About EasyCeph

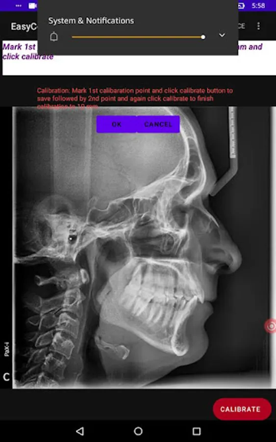
A Cephalometric application that can give results for Tweed's, Steiner's, Down's, Rickett's, McNamara's analysis and WITS appraisal by simply calibrating and marking the landmarks required for analysis.A frontal facial symmetry determining symmetry grid and Pre and Post treatment Cephalogram superimposer to appreciate changes.