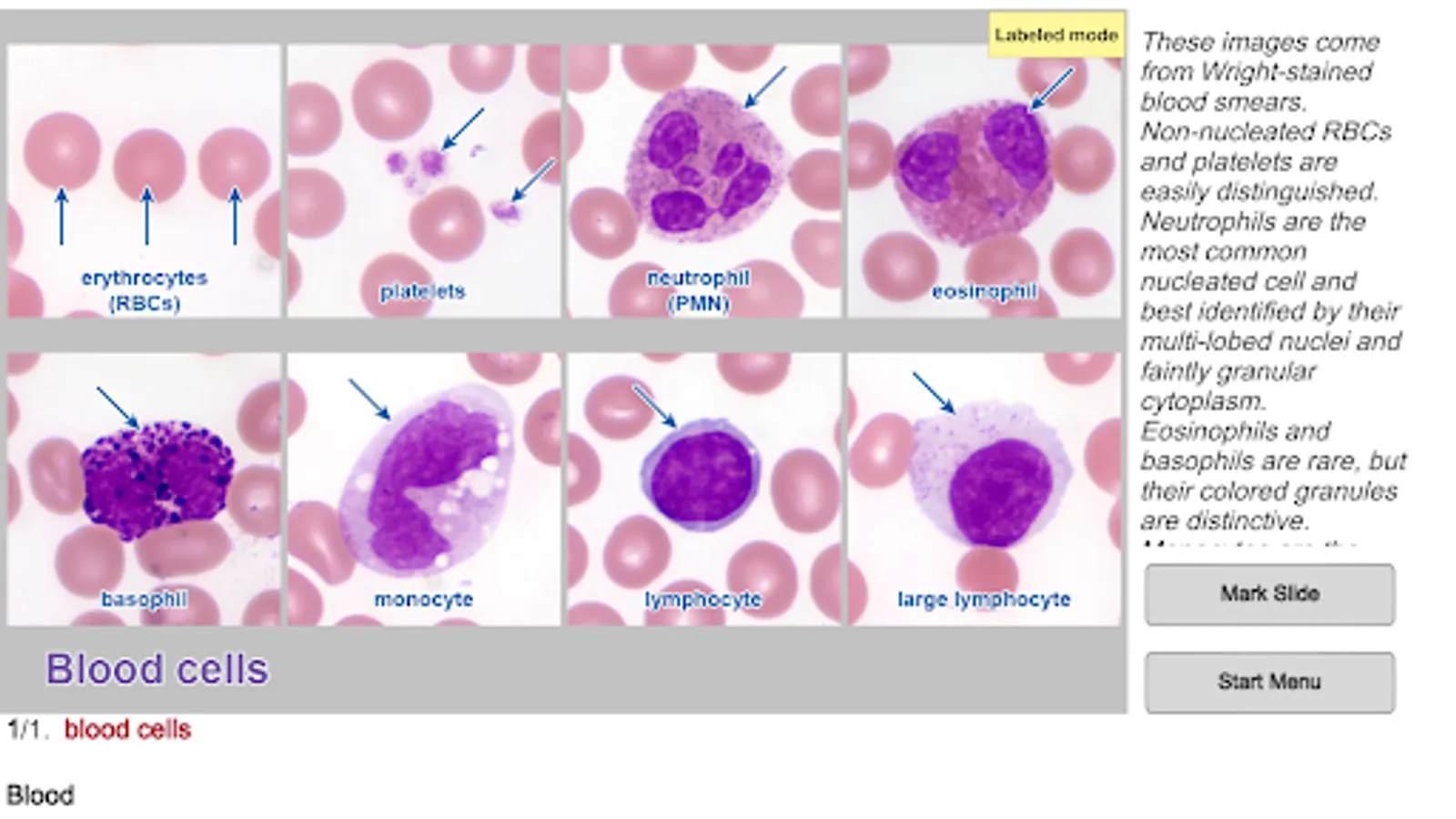
Histo! is the favorite study aid of medical and dental students in histology courses at the University of Utah. It currently contains 2179 identification slides, based on 547 photomicrographic images. The slides are organized into 19 Main Topics and 148 Subtopics. In addition, every slide is associated with one or more of 675 Search terms. The ability to choose between Main Topics, Subtopics, or Search terms allows you to focus your study as broadly or sharply as you wish. An internet connection is not required.
Histo! presents material in four modes. Two of the modes help those new to a topic learn to identify microanatomical structures and associated functions. Immediate self-testing is available in these learning modes, a feature students requested. Testing is the focus of the other two modes.
Slides in any of the modes may be marked for additional review. Marked slides can be removed as they are mastered.
Your time is precious, learning with Histo! is efficient!
Histo! presents material in four modes. Two of the modes help those new to a topic learn to identify microanatomical structures and associated functions. Immediate self-testing is available in these learning modes, a feature students requested. Testing is the focus of the other two modes.
Slides in any of the modes may be marked for additional review. Marked slides can be removed as they are mastered.
Your time is precious, learning with Histo! is efficient!
Show More