Would you like to experience StrokeViewer® but you are not a user yet?
Try the StrokeViewer Training App to see how StrokeViewer will help you make well-informed treatment decisions for your patient anytime, anywhere.
"By connecting human & artificial intelligence, we can revolutionize emergency care."
Combining a broad portfolio of Artificial Intelligence algorithms (StrokeViewer AI) with an impressive architecture consisting of multiple features (StrokeViewer ARC), StrokeViewer is the cloud-native solution for both hub and spoke centers, streamlining the stroke workflow.
StrokeViewer enables physicians to provide every stroke patient with the right treatment in time.
Try the StrokeViewer Training App to see how StrokeViewer will help you make well-informed treatment decisions for your patient anytime, anywhere.
"By connecting human & artificial intelligence, we can revolutionize emergency care."
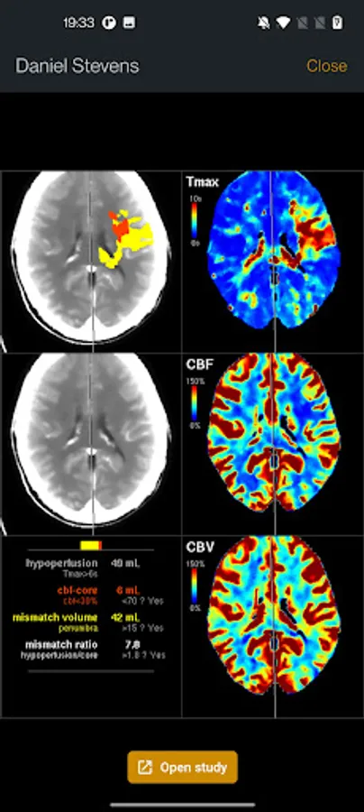
Combining a broad portfolio of Artificial Intelligence algorithms (StrokeViewer AI) with an impressive architecture consisting of multiple features (StrokeViewer ARC), StrokeViewer is the cloud-native solution for both hub and spoke centers, streamlining the stroke workflow.
StrokeViewer enables physicians to provide every stroke patient with the right treatment in time.
Show More