EPview™ is a free application used to control the OLYMPUS EP50 digital microscope camera, encouraging collaborative learning through its flexible imaging options.
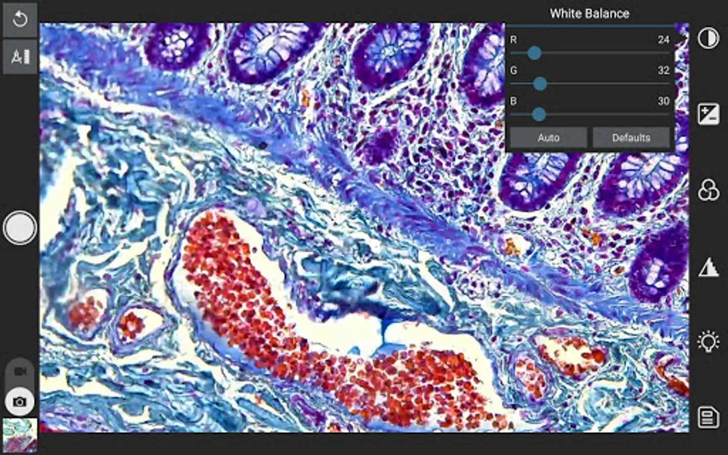
Stream high-resolution images and Full HD videos of your microscopic specimen, take snapshots, make annotations and measurements, and share them using the EPview App.
Simple and intuitive operation enables you to comfortably control the EP50 camera on your mobile device. Up to six students at a time can connect to a microscope equipped with a WLAN-enabled OLYMPUS EP50 digital camera. They can learn about and discuss microscopic specimens, snap images, make videos, store the data on their devices, and share the images with others. Images can be enriched with annotations, and specimen structures can be analyzed using the interactive count and measurement functions.
Use EP50 digital microscope cameras and the EPview App to setup a digital classroom optimized for your needs and make teaching more powerful and effective using these digital tools.
For more information visit https://www.olympus-lifescience.com/camera/color/ep50/
Intended use: EPview is for research use only.
EPview is solely intended for research and education purposes and not for any form of in vitro diagnostics or clinical use.
Olympus is a registered trademark and EPview is a trademark of Olympus Corporation.
Stream high-resolution images and Full HD videos of your microscopic specimen, take snapshots, make annotations and measurements, and share them using the EPview App.
Simple and intuitive operation enables you to comfortably control the EP50 camera on your mobile device. Up to six students at a time can connect to a microscope equipped with a WLAN-enabled OLYMPUS EP50 digital camera. They can learn about and discuss microscopic specimens, snap images, make videos, store the data on their devices, and share the images with others. Images can be enriched with annotations, and specimen structures can be analyzed using the interactive count and measurement functions.
Use EP50 digital microscope cameras and the EPview App to setup a digital classroom optimized for your needs and make teaching more powerful and effective using these digital tools.
For more information visit https://www.olympus-lifescience.com/camera/color/ep50/
Intended use: EPview is for research use only.
EPview is solely intended for research and education purposes and not for any form of in vitro diagnostics or clinical use.
Olympus is a registered trademark and EPview is a trademark of Olympus Corporation.
Show More