The largest French bank of clinical cases of medical imaging and radiology in your pocket!
You can test your knowledge with the radiological case of day and customized quiz.
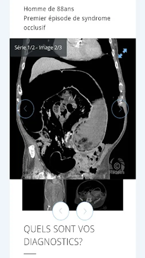
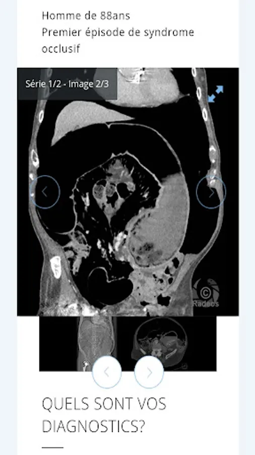
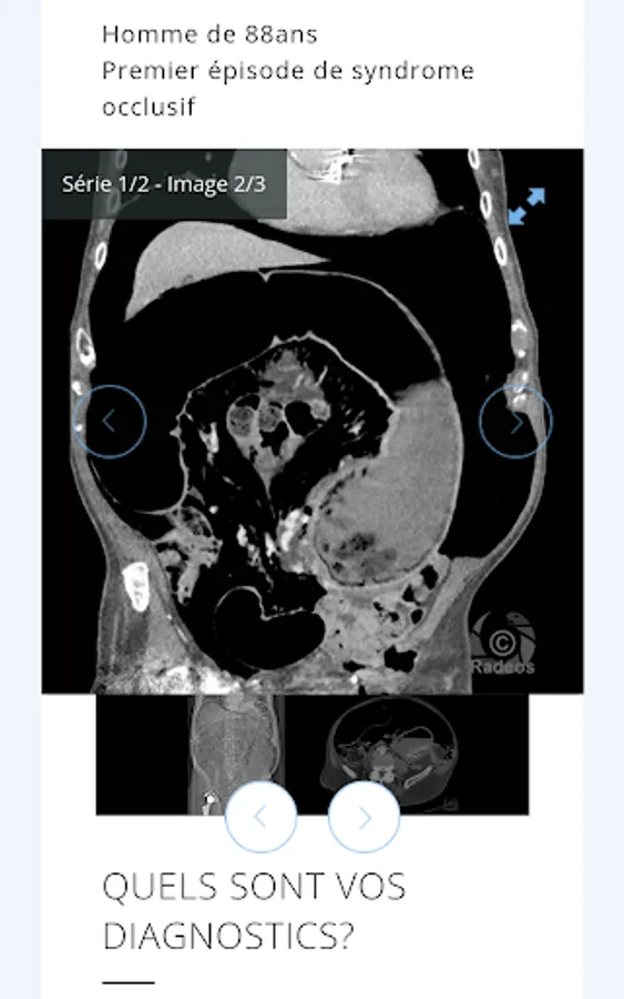
Consultation with images of hundreds of typical and rare cases is simple, all accompanied by explanatory captions and course records. All imaging modalities are represented: CT, MRI, ultrasound, PET-CT scans, interventional radiology angiography.
This image library is enriched continuously, and you will always discover new cases.
An indispensable tool for radiologists and internal regardless of your medical specialty.
Medical student (external)? During the contest of the internship, you will make the difference when the ECNI through Radeos!
You can test your knowledge with the radiological case of day and customized quiz.
Consultation with images of hundreds of typical and rare cases is simple, all accompanied by explanatory captions and course records. All imaging modalities are represented: CT, MRI, ultrasound, PET-CT scans, interventional radiology angiography.
This image library is enriched continuously, and you will always discover new cases.
An indispensable tool for radiologists and internal regardless of your medical specialty.
Medical student (external)? During the contest of the internship, you will make the difference when the ECNI through Radeos!
Show More