Bone and soft tissue tumours - case studies (BoSTT) is a mobile source of musculoskeletal tumour cases provided by experts at the Royal National Orthopaedic Hospital (RNOH) NHS Trust, Stanmore, UK.
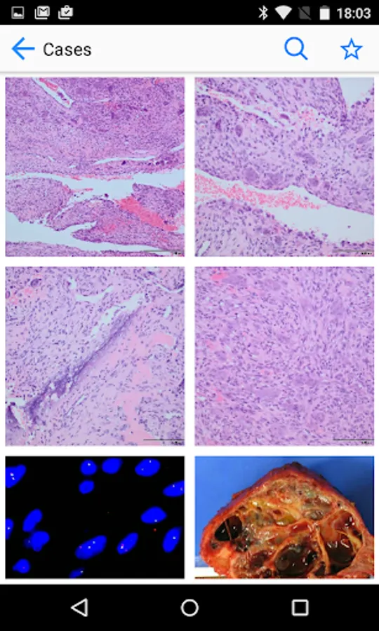
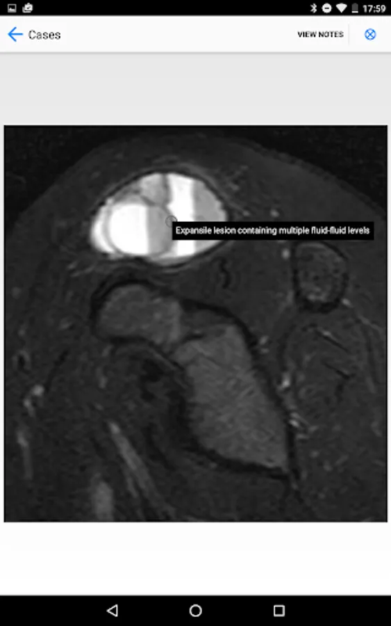
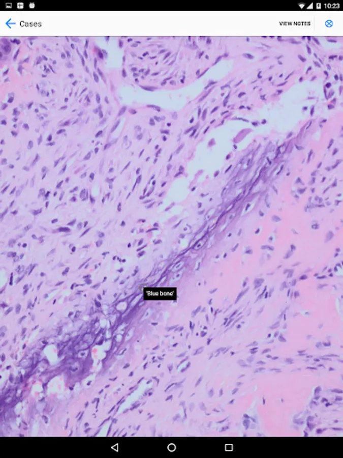
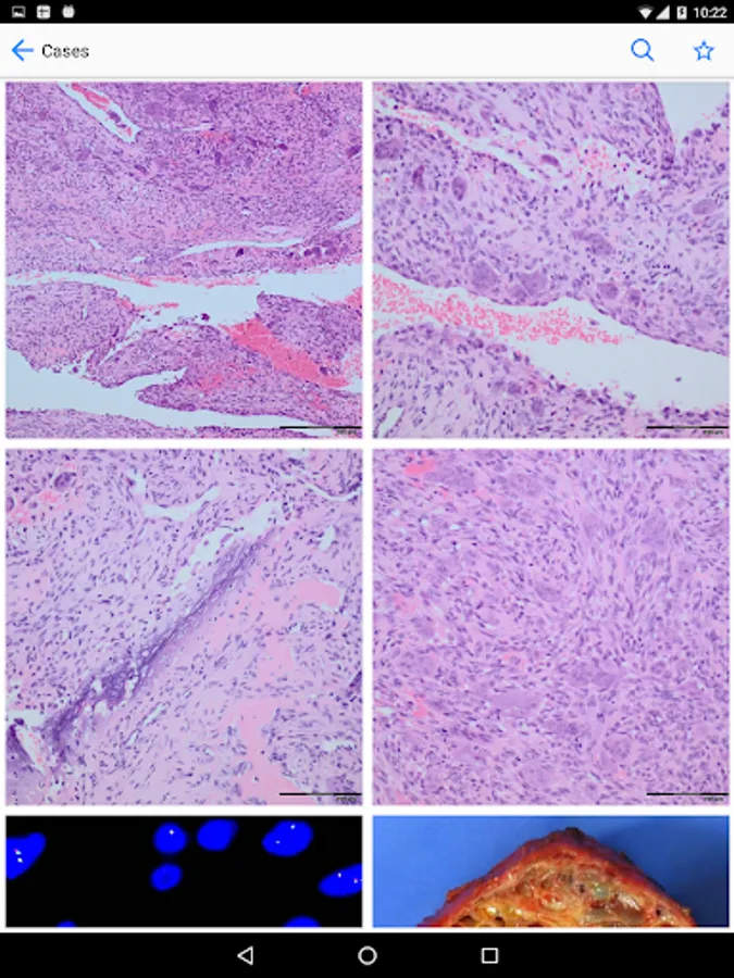
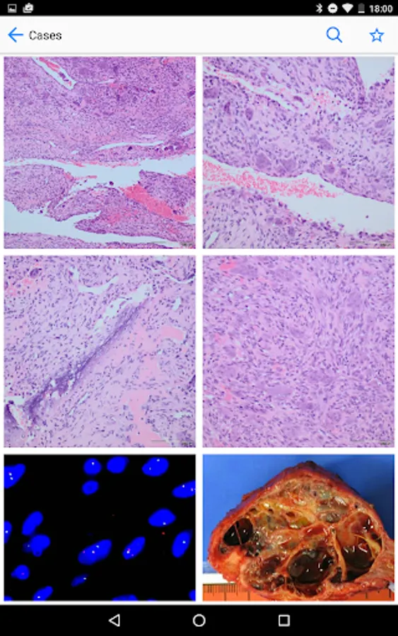
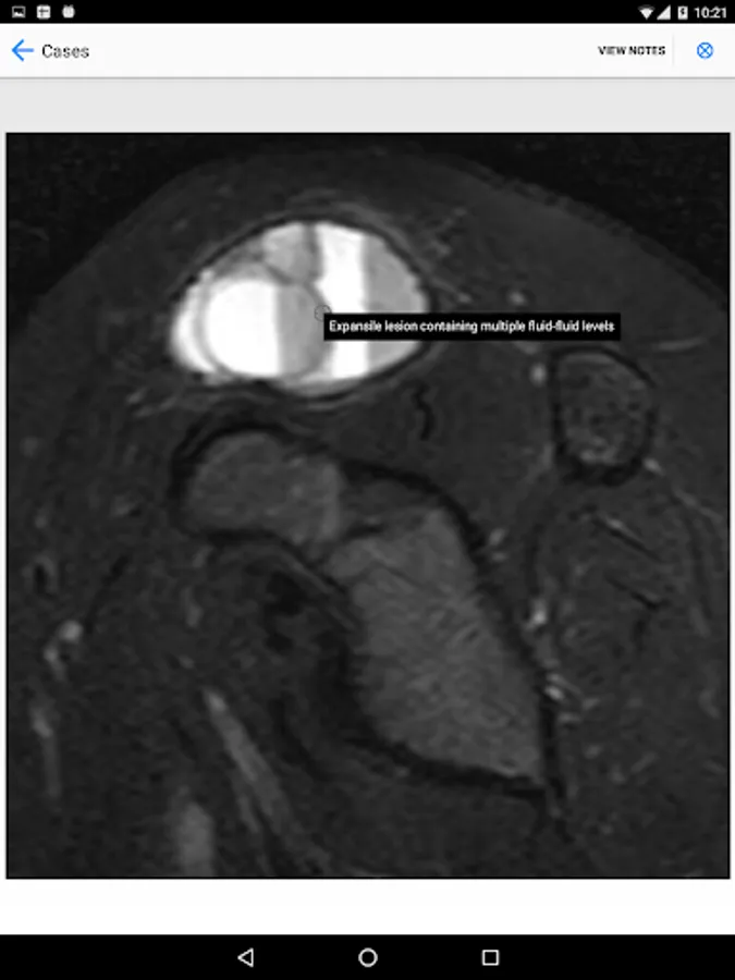
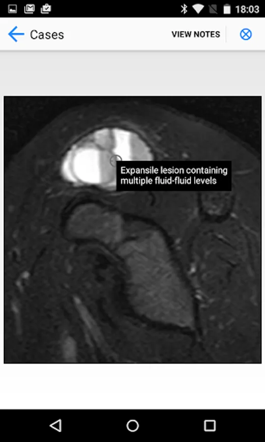
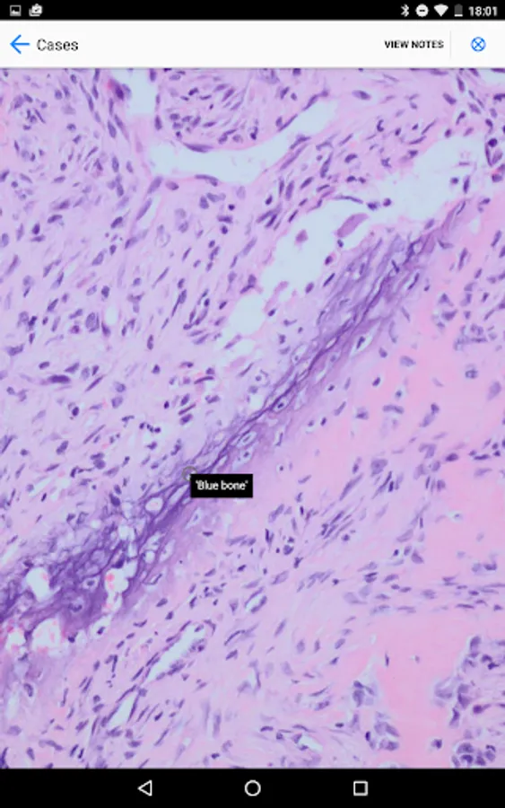
BoSTT brings the user a real experience of frequent and rare, typical and more unusual cases of bone and soft tissue tumours. Each case has a clinical history, high resolution radiology and pathology images, diagnosis, treatment and learning points.
The app is designed for healthcare professional working in the field of musculoskeletal healthcare, including radiologists, pathologists, orthopaedic surgeons, oncologists, nurse specialists and physiotherapists. It can also be used by medical students, trainees, residents and specialist fellows for continuing medical education.
The RNOH is the largest orthopaedic hospital in the UK and is regarded as a leader in the field of orthopaedics and sarcoma care both in the UK and worldwide.
This App was financed by RNOH's Innovation Fund.
BoSTT brings the user a real experience of frequent and rare, typical and more unusual cases of bone and soft tissue tumours. Each case has a clinical history, high resolution radiology and pathology images, diagnosis, treatment and learning points.
The app is designed for healthcare professional working in the field of musculoskeletal healthcare, including radiologists, pathologists, orthopaedic surgeons, oncologists, nurse specialists and physiotherapists. It can also be used by medical students, trainees, residents and specialist fellows for continuing medical education.
The RNOH is the largest orthopaedic hospital in the UK and is regarded as a leader in the field of orthopaedics and sarcoma care both in the UK and worldwide.
This App was financed by RNOH's Innovation Fund.
Show More