Use this app to know more about the Atlas of CT scan Anatomy.
An ideal resource for the classroom or clinical setting, Sectional Anatomy for Imaging Professionals, the App provides a comprehensive, and highly visual approach to the sectional anatomy of the entire body. Side-by-side presentations of actual diagnostic images from both MRI and CT modalities and corresponding anatomic line drawings illustrate the planes of anatomy most commonly demonstrated by diagnostic imaging. Easy-to-follow descriptions detail the location and function of the anatomy, while clearly labeled images help you confidently identify anatomic structures during clinical examinations. In all, it’s the one reference you need to consistently produce the best possible diagnostic images.
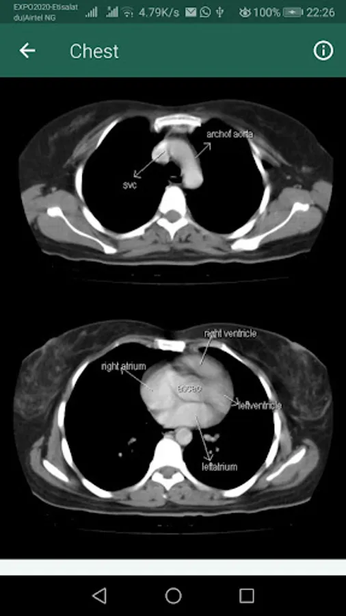
Side-by-side presentation of anatomy illustrations and corresponding CT and MRI images clarifies the location and structure of sectional anatomy.
More than 1,500 high-quality images and detailed line drawings demonstrate sectional anatomy for every body plane commonly imaged in the clinical setting.
Updated summary tables are used to simplify and organize key information in each chapter.
CT or MR images of special interest are featured on the opening page in each chapter to pique readers’ interest in the area about to be covered in the App.
Reference drawings and corresponding scanning planes appear on appropriate pages with the actual images, so they are easily referenced for correlation between the scanning planes and the resulting images.
NB: This app is not a CT Scanner.
An ideal resource for the classroom or clinical setting, Sectional Anatomy for Imaging Professionals, the App provides a comprehensive, and highly visual approach to the sectional anatomy of the entire body. Side-by-side presentations of actual diagnostic images from both MRI and CT modalities and corresponding anatomic line drawings illustrate the planes of anatomy most commonly demonstrated by diagnostic imaging. Easy-to-follow descriptions detail the location and function of the anatomy, while clearly labeled images help you confidently identify anatomic structures during clinical examinations. In all, it’s the one reference you need to consistently produce the best possible diagnostic images.
Side-by-side presentation of anatomy illustrations and corresponding CT and MRI images clarifies the location and structure of sectional anatomy.
More than 1,500 high-quality images and detailed line drawings demonstrate sectional anatomy for every body plane commonly imaged in the clinical setting.
Updated summary tables are used to simplify and organize key information in each chapter.
CT or MR images of special interest are featured on the opening page in each chapter to pique readers’ interest in the area about to be covered in the App.
Reference drawings and corresponding scanning planes appear on appropriate pages with the actual images, so they are easily referenced for correlation between the scanning planes and the resulting images.
NB: This app is not a CT Scanner.
Show More