About H-Connect Doctor App
H-Connect is a cloud-based in-hospital application researched and developed jointly by Hallym University Sacred Heart Hospital and Sears Technology.
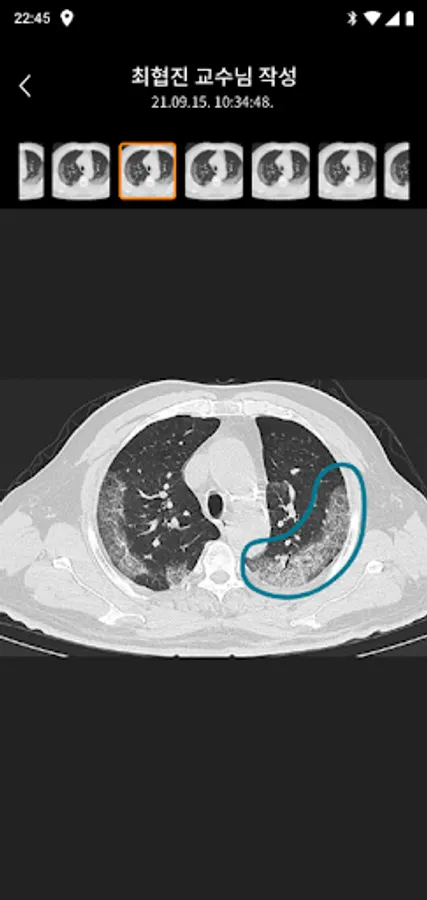
Among them, H-Connect Doctor is a cloud-based remote collaboration system in Sacred Heart Hospital.
It is a system that encompasses from monitoring the patient's biosignals to multilateral cooperation that is not restricted by time, place, and space.
You can use the same EMR account without having to sign up for a separate membership, so you can receive your patients as they are, and you can manage the HIS schedules such as outpatients, surgeries, and vacations together with the collaboration schedule.
You can freely use text, voice, and video, and freely communicate with medical staff, so it can be used in a variety of issues, from messages to collaborations.
H-Connect is a telemedicine platform applicable to full-cycle medical care that enables communication with nursing personnel, emergency rooms, and medical staff working in screening clinics using nurse, emergency, and R-Clinic as well as Doctor.
Among them, H-Connect Doctor is a cloud-based remote collaboration system in Sacred Heart Hospital.
It is a system that encompasses from monitoring the patient's biosignals to multilateral cooperation that is not restricted by time, place, and space.
You can use the same EMR account without having to sign up for a separate membership, so you can receive your patients as they are, and you can manage the HIS schedules such as outpatients, surgeries, and vacations together with the collaboration schedule.
You can freely use text, voice, and video, and freely communicate with medical staff, so it can be used in a variety of issues, from messages to collaborations.
H-Connect is a telemedicine platform applicable to full-cycle medical care that enables communication with nursing personnel, emergency rooms, and medical staff working in screening clinics using nurse, emergency, and R-Clinic as well as Doctor.