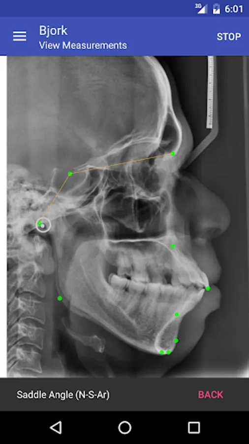
With this app, you can perform lateral cephalometric analyses and explore landmarks visually. Includes measurement sharing via PDF and ongoing feature updates.
AppRecs review analysis
AppRecs rating 4.8. Trustworthiness 60 out of 100. Review manipulation risk 40 out of 100. Based on a review sample analyzed.
★★★★☆
4.8
AppRecs Rating
Ratings breakdown
5 star
83%
4 star
17%
3 star
0%
2 star
0%
1 star
0%
What to know
✓
Authentic reviews
Natural distribution, no red flags
⚠
Questionable review patterns
40% review manipulation risk - some review patterns appear unusual
⚠
Rating authenticity concerns
High rating concentration (83% 5-star) in sampled ratings
About OneCeph
Perform Lateral Cephalometric Analyses with ease.
Available Analyses:
Beta
Bjork
COGS/Burstone
Cephalomorphic
Down
Holdaway
Jarabak
McNamara
Rickett
Steiner
Schwartz
Wits
Tweed
Yen
Interactively learn about landmarks and parameters - Explore them all visually.
Share measurements as PDF by email
Please note that this is still a beta release. There are still unimplemented features. Issues related to performance and accuracy are being fixed. Please use this at your own discretion.
Available Analyses:
Beta
Bjork
COGS/Burstone
Cephalomorphic
Down
Holdaway
Jarabak
McNamara
Rickett
Steiner
Schwartz
Wits
Tweed
Yen
Interactively learn about landmarks and parameters - Explore them all visually.
Share measurements as PDF by email
Please note that this is still a beta release. There are still unimplemented features. Issues related to performance and accuracy are being fixed. Please use this at your own discretion.