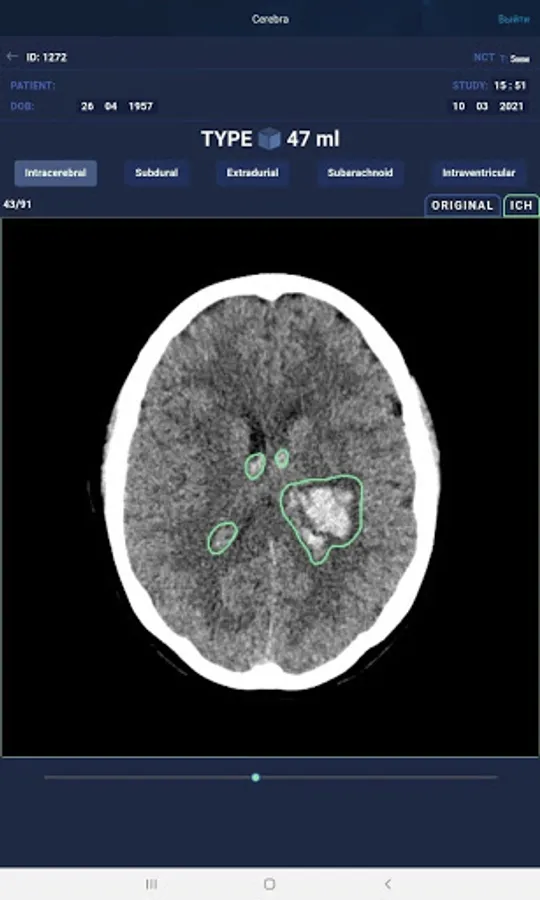
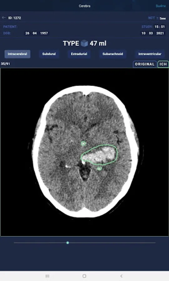
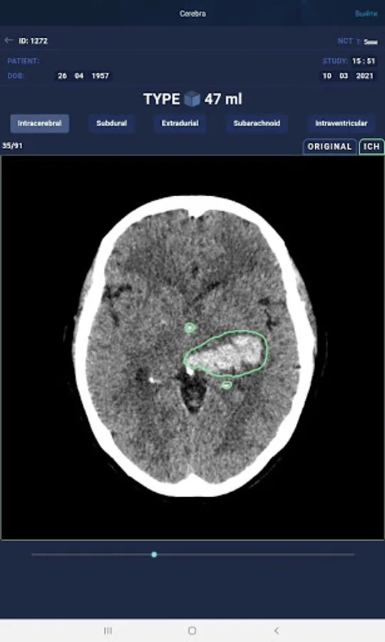
CEREBRA (Cerebra) is an artificial intelligence in the field of neuroradiology for the automated diagnosis of ischemic and hemorrhagic stroke, which contributes to an increase in the number of successfully treated cases of stroke.
At the moment, CEREBRA is working with CT images.
For more information: https://cerebra.kz/
------------------------------------------
The Cerebra Mobile mobile app is intended for informational purposes only, and not for making diagnostic decisions.
At the moment, CEREBRA is working with CT images.
For more information: https://cerebra.kz/
------------------------------------------
The Cerebra Mobile mobile app is intended for informational purposes only, and not for making diagnostic decisions.
Show More