Tool for classifying fractures
The 2018 AO/OTA Fracture and Dislocation Classification is a streamlined, concise, and clinically relevant tool for coding fractures and dislocations.
It is the standard classification used by trauma surgeons and physicians dealing with skeletal trauma worldwide. The Classification was revised in 2018 and the new app was updated to reflect these changes.
The app provides beginners and experts with a reference tool to:
• Learn how to apply the classification system
• Utilize common terminology when classifying fractures
• Apply the principles of fracture classification
• Provide standard codes for research purposes
The content and design of the app makes the Classification simpler to use. The AO/OTA Classification app makes injury descriptions more reliable, thus improving research and fracture outcomes assessments.
Features:
• Information regarding radiological investigations used for classifying a specific fracture
• Common pitfalls with imaging are addressed
• All new fracture illustrations
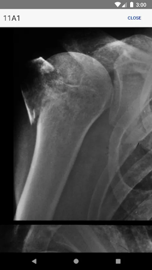
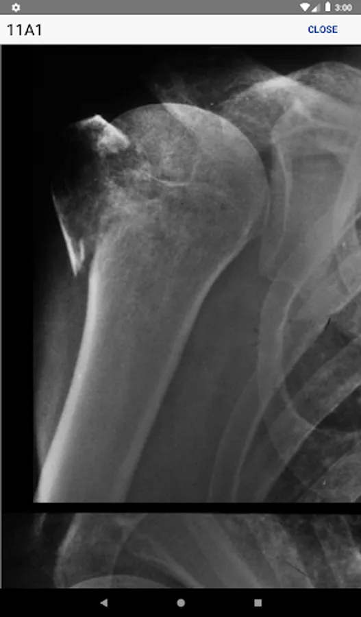
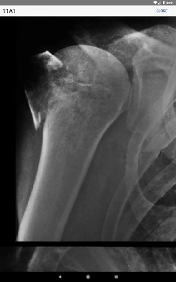
• High-quality, enlargeable x-rays are included
• Fracture codes can be added to "Favorites" for personalized reference
• The new "Search" function allows users to quickly access any fracture code
• Principles of fracture classification
The 2018 AO/OTA Fracture and Dislocation Classification is a streamlined, concise, and clinically relevant tool for coding fractures and dislocations.
It is the standard classification used by trauma surgeons and physicians dealing with skeletal trauma worldwide. The Classification was revised in 2018 and the new app was updated to reflect these changes.
The app provides beginners and experts with a reference tool to:
• Learn how to apply the classification system
• Utilize common terminology when classifying fractures
• Apply the principles of fracture classification
• Provide standard codes for research purposes
The content and design of the app makes the Classification simpler to use. The AO/OTA Classification app makes injury descriptions more reliable, thus improving research and fracture outcomes assessments.
Features:
• Information regarding radiological investigations used for classifying a specific fracture
• Common pitfalls with imaging are addressed
• All new fracture illustrations
• High-quality, enlargeable x-rays are included
• Fracture codes can be added to "Favorites" for personalized reference
• The new "Search" function allows users to quickly access any fracture code
• Principles of fracture classification
Show More