Osteotrauma is an application that assists in the planning of orthopedic surgery.
The goal of the planner is to assist the physician in all stages of planning orthopedic surgery in long bone fractures.
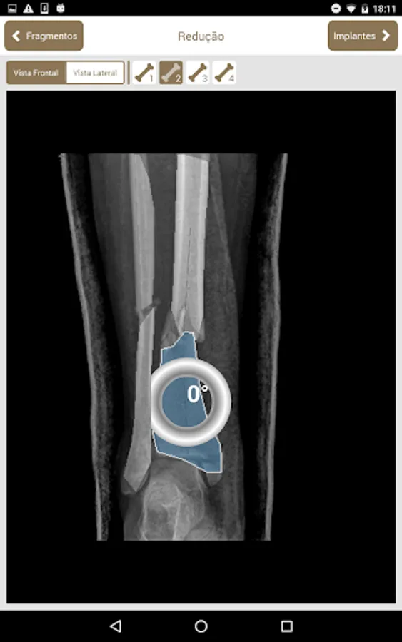
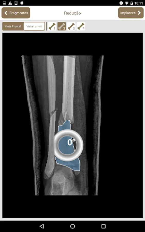
In the application, you can perform the same steps that are done in a manual planning: Choice of radiography, AO classification, selection and trimming of parts, reduction, Implant Planning, Patient Record Fill, report generation and report manual Edition generated (which can be exported into PDF).
This application is a prototype, experimental, provided as is, without any warranty. Its use in real surgical planning is not recommended at this stage. The Fira Soft is not responsible for the results obtained from the plans made with this application.
The application producers and Fira Soft are looking for investors who are interested in improving / evolve the application and continue the development of the product.
If you have interest or questions about the project (originally known as Bone Marrow project), please contact us: contato@firasoft.com
The goal of the planner is to assist the physician in all stages of planning orthopedic surgery in long bone fractures.
In the application, you can perform the same steps that are done in a manual planning: Choice of radiography, AO classification, selection and trimming of parts, reduction, Implant Planning, Patient Record Fill, report generation and report manual Edition generated (which can be exported into PDF).
This application is a prototype, experimental, provided as is, without any warranty. Its use in real surgical planning is not recommended at this stage. The Fira Soft is not responsible for the results obtained from the plans made with this application.
The application producers and Fira Soft are looking for investors who are interested in improving / evolve the application and continue the development of the product.
If you have interest or questions about the project (originally known as Bone Marrow project), please contact us: contato@firasoft.com
Show More