This is an app for patients of the Utrecht University Medical Center, the Netherlands.
Why was this app created?
▸ This is the first medical image-sharing app in the Netherlands that is fully patient focused. The app brings many advantages and new opportunities for patients. But the main motivation to develop the app was much simpler: Patients asked for it!
What is “myBody, myData” ?
▸ myBody, myData is a concept we use to express our view that physicians and patients are pártners. Partners on a shared treatment journey. When we make X-rays, CTs and MRI scans of your body, we consider this: your Body, your Data. So we'll share it with you.
What does the myBody-myData App do for me as a patient?
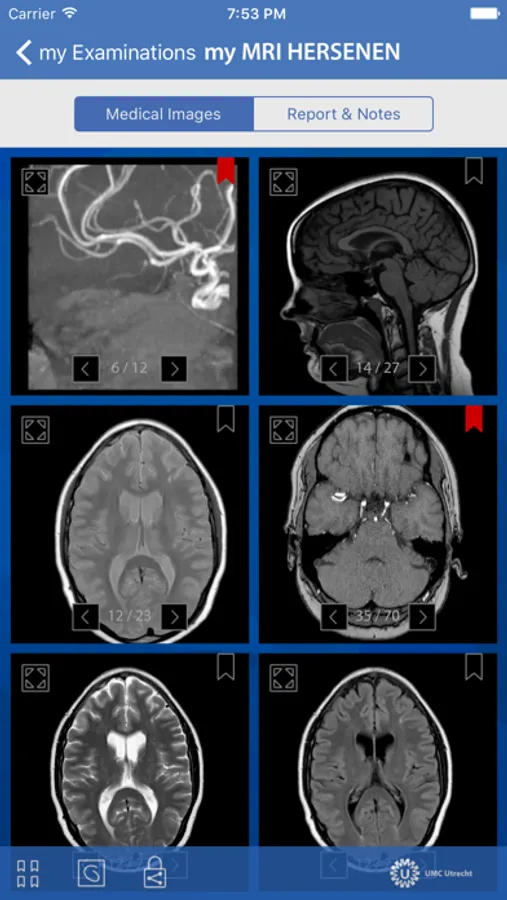
▸ The app gives patients free, fast and full access to their own medical image data, in an easy to understand, interactive format, in a secure environment. If desired, including the report of your examination.
As soon as the images and the report are available in the hospital, they can be accessed in the app.
Why was this app created?
▸ This is the first medical image-sharing app in the Netherlands that is fully patient focused. The app brings many advantages and new opportunities for patients. But the main motivation to develop the app was much simpler: Patients asked for it!
What is “myBody, myData” ?
▸ myBody, myData is a concept we use to express our view that physicians and patients are pártners. Partners on a shared treatment journey. When we make X-rays, CTs and MRI scans of your body, we consider this: your Body, your Data. So we'll share it with you.
What does the myBody-myData App do for me as a patient?
▸ The app gives patients free, fast and full access to their own medical image data, in an easy to understand, interactive format, in a secure environment. If desired, including the report of your examination.
As soon as the images and the report are available in the hospital, they can be accessed in the app.
Show More