Fast and easy composite shade matcher!
The Chromatcher is the first digital shade guide application that offers the user (dentist or technician) the ability to accomplish the restoration effortlessly. The Chromatcher is used to determine the tooth shade of the patient by taking a photo of the desired tooth area and match it with DMP’s shade system for restorative materials. Therefore, the user knows the required shade immediately through the Chromatcher avoiding the use of conventional shade guides. This process applies for all aesthetic restorations.
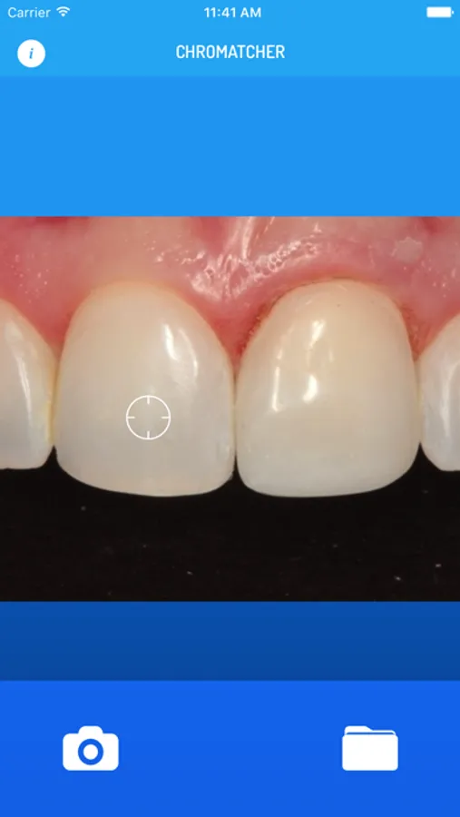
The Chromatcher is the first digital shade guide application that offers the user (dentist or technician) the ability to accomplish the restoration effortlessly. The Chromatcher is used to determine the tooth shade of the patient by taking a photo of the desired tooth area and match it with DMP’s shade system for restorative materials. Therefore, the user knows the required shade immediately through the Chromatcher avoiding the use of conventional shade guides. This process applies for all aesthetic restorations.
Show More