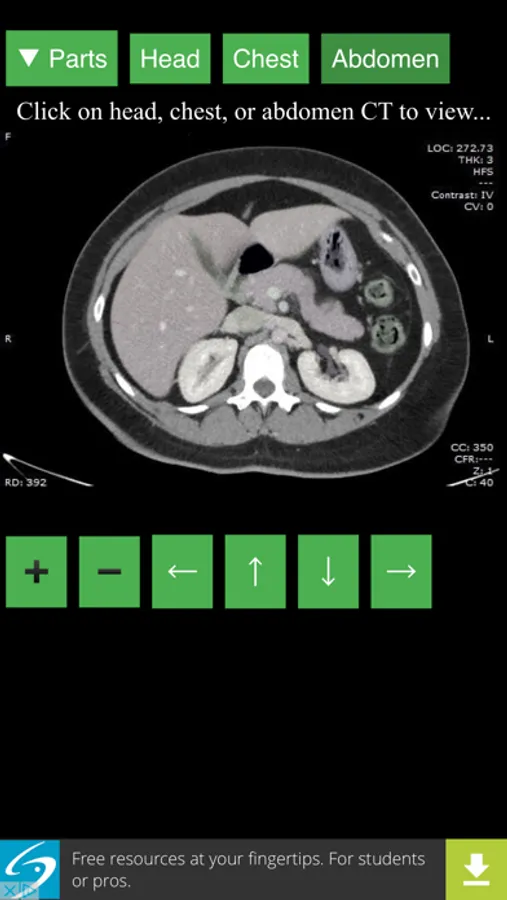
This App provides a dynamic and interactive method of viewing cross-sectional human anatomy on computed tomography (CT). The information contained in this app cannot be guaranteed for completeness and accuracy.
If errors are encountered, please contact me through my e-mail. Contact CTApp@mdtoolkit.net with any questions, comments, or advice to improve app.
Upcoming developments:
- Coronal and saggital images
- Other modalities...
Disclaimer: The information in this app is provided as an educational resource only, and is not to be used or relied on for any diagnostic or treatment purposes. This information is not intended to be patient education and should not be used as a substitute for professional diagnosis and treatment. MDToolkit expressly disclaims responsibility, and shall have no liability, for any damages, loss, injury, or liability whatsoever suffered as a result of your reliance on the information contained in this app. By using this app, you agree to the foregoing terms and conditions, which may from time to time be changed or supplemented.
If errors are encountered, please contact me through my e-mail. Contact CTApp@mdtoolkit.net with any questions, comments, or advice to improve app.
Upcoming developments:
- Coronal and saggital images
- Other modalities...
Disclaimer: The information in this app is provided as an educational resource only, and is not to be used or relied on for any diagnostic or treatment purposes. This information is not intended to be patient education and should not be used as a substitute for professional diagnosis and treatment. MDToolkit expressly disclaims responsibility, and shall have no liability, for any damages, loss, injury, or liability whatsoever suffered as a result of your reliance on the information contained in this app. By using this app, you agree to the foregoing terms and conditions, which may from time to time be changed or supplemented.
Show More