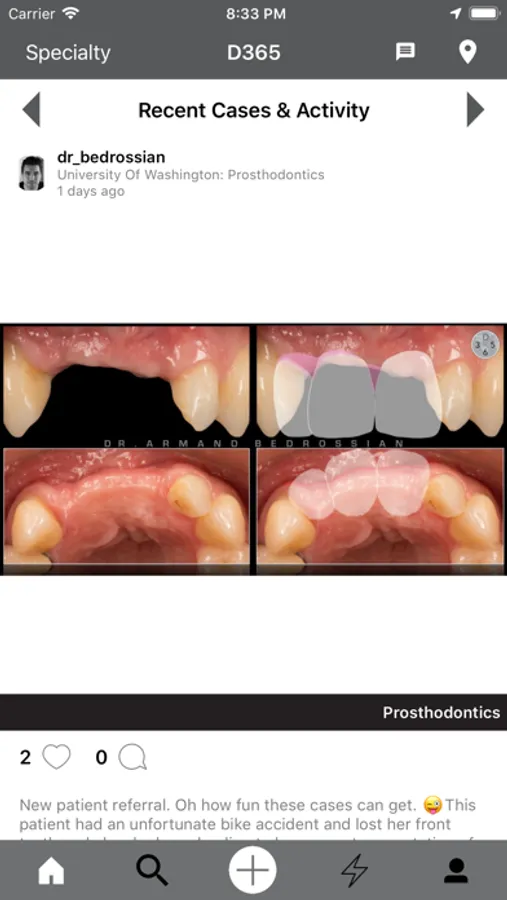
The D365 app was created by two dentists, Dr. Armand Bedrossian and Dr. Ryan Mizumoto, who met while interviewing for Prosthodontic Residency programs. Though they chose to attend different schools, they stayed in touch as colleagues and eventually became close friends.
In February 2015, they met in Chicago for the American Academy of Fixed Prosthodontics Annual Scientific Meeting. Inspired by the incredible amount of care, skill and knowledge depicted in the presentations, they decided to start documenting their journeys by posting a single photo from their daily work, every day for a year and called it #Prosth365. They encouraged others to join the #Prosth365 movement, in hopes of giving people a behind the scenes look into the life of a dental student, resident, dentist or specialist who is passionate about prosthodontics.
Dentistry365.com and the D365 App is their newest project and greatest extension of their original vision. The networking platform is designed for all specialties and any dental professional who is committed to learning and passionate about their profession.
In February 2015, they met in Chicago for the American Academy of Fixed Prosthodontics Annual Scientific Meeting. Inspired by the incredible amount of care, skill and knowledge depicted in the presentations, they decided to start documenting their journeys by posting a single photo from their daily work, every day for a year and called it #Prosth365. They encouraged others to join the #Prosth365 movement, in hopes of giving people a behind the scenes look into the life of a dental student, resident, dentist or specialist who is passionate about prosthodontics.
Dentistry365.com and the D365 App is their newest project and greatest extension of their original vision. The networking platform is designed for all specialties and any dental professional who is committed to learning and passionate about their profession.
Show More