About Fibrose pulmonaire 2017
Fibrose pulmonaire: Certitudes et interrogations en 2017
Organisé par Pr J. Rémy - Pr M. Rémy-Jardin - Dr JB. Faivre - Dr A. Hutt - Dr P. Felloni
Avec la participation du Pr MC. Copin - C. Chenivesse
Hôpital Calmette - CHRU de LILLE
Boulevard Jules Leclercq
59037 - LILLE Cedex
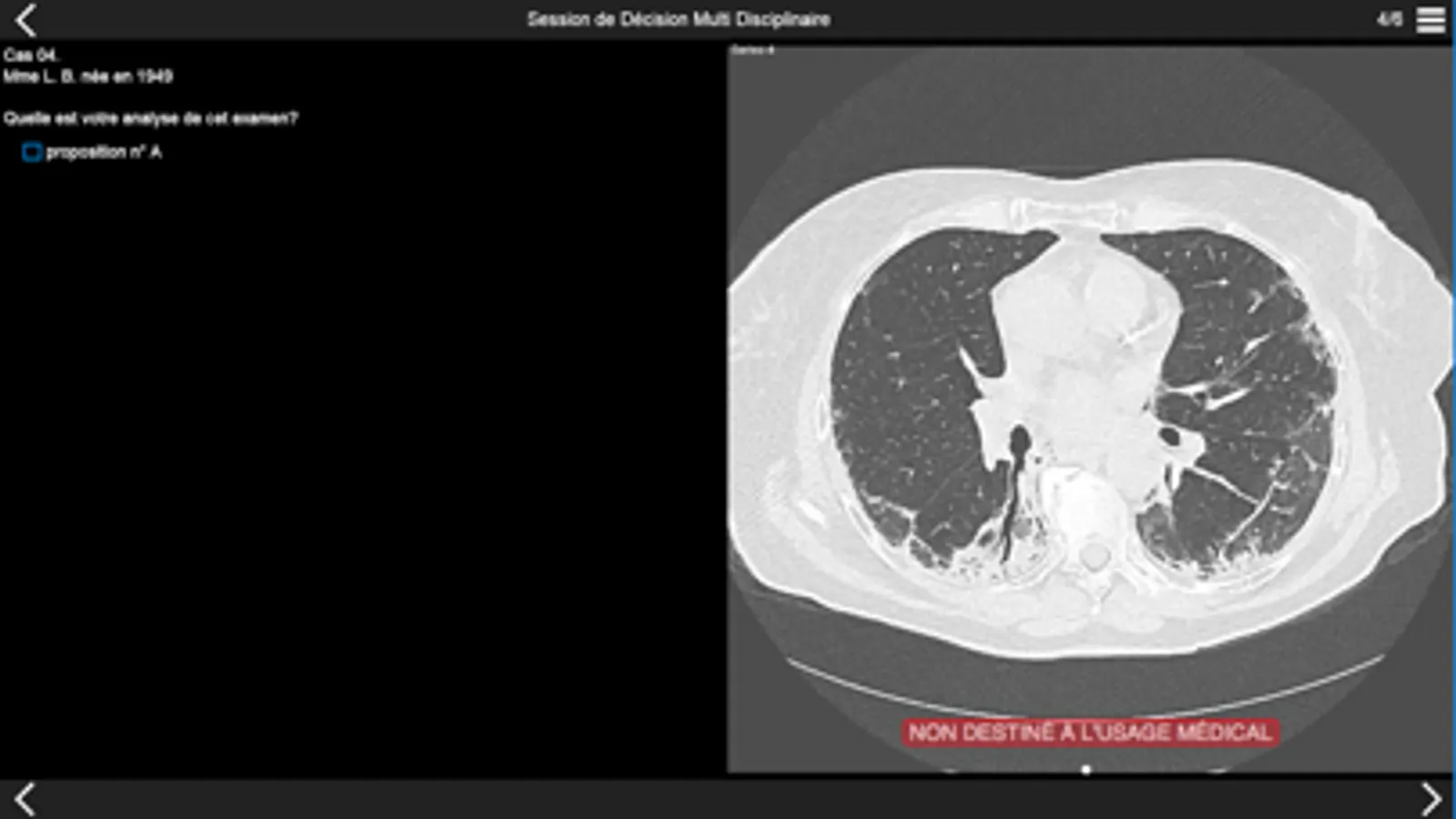
Consultez les examens tomodensitométriques des cas cliniques de pneumopathie infiltrante présentés lors de la session de discussion multidisciplinaire qui aura lieu dans la première partie de l'après-midi.
Organisé par Pr J. Rémy - Pr M. Rémy-Jardin - Dr JB. Faivre - Dr A. Hutt - Dr P. Felloni
Avec la participation du Pr MC. Copin - C. Chenivesse
Hôpital Calmette - CHRU de LILLE
Boulevard Jules Leclercq
59037 - LILLE Cedex
Consultez les examens tomodensitométriques des cas cliniques de pneumopathie infiltrante présentés lors de la session de discussion multidisciplinaire qui aura lieu dans la première partie de l'après-midi.
Fibrose pulmonaire 2017 Screenshots
Tap to Rate: