CheckBRW is a mobile application designed to compute target parameters of the Brown-Roberts-Wells stereotactic apparatus. It is intended to be a second-check tool.
CheckBRW uses two CT or MR images corresponding to the target point, which will be reached by the probe, and the trepanation point where the probe will enter the skull.
 
The user can get the images taking a photo of the stereo-CT or stereo-MR or entering the image into the camera roll using any available way.
Considering that most modern CT equipments are able to export a JPEG version of each slide, a simple way to get the desired images into the user device is to send that JPEG images attached to an email.
CheckBRW work with axial (transverse) slices only, there is no support for coronal or sagittal views.
CheckBRW main axis are: latero-lateral (X), dorso-ventral (Y) and caudal-rostral (Z).
The mathematical algorithm used by CheckBRW includes corrections for tilted images (rotation around X and/or Y axis) as long as nine fiducials are present in the image. There is correction for rotation around Z up to 5 degrees. Linear image distortions are also corrected.
WARNING:
- Do not use CheckBRW for surgical decision making.
Do not use CheckBRW as the primary planning or computation system, it is intended to be a verification system.
- Do not use CheckBRW with data from any stereotactic apparatus different from Brown-Roberts-Wells.
If you have a stereotactic apparatus of other type, such as Leksell, CRW, ZD, please consider using StereoCheck app instead.
 
Step-By-Step:
1. Take a photo of your stereo-CT or stereo-MR or enter the images into the camera roll using any available way.
2. Tap the + button of the Target Image to select the image from the camera roll.
3. Tap the + button of Entry Point Image to select the image from the camera roll.
4. Tap Done. The target images will be presented.
5. Set the point-of-view of the image if necessary. Tap Done button.
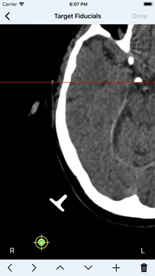
6. Mark each fiducial on the image. CheckBRW uses nine (9) fiducials. Tap the Done button.
7. Mark the target point you want to reach and tap the Done button.
8. The entry point image will be shown. Tap the Done button.
Mark each fiducial on the image and tap the Done button. Mark the entry point and tap the Done button.
9. At this point the stereotactic parameters Depth, Alpha, Beta, Gamma and Delta will be computed and displayed.
If you want to keep a copy of results for your records, use the Compose button on top of the screen to send them by e-mail.
          CheckBRW uses two CT or MR images corresponding to the target point, which will be reached by the probe, and the trepanation point where the probe will enter the skull.
The user can get the images taking a photo of the stereo-CT or stereo-MR or entering the image into the camera roll using any available way.
Considering that most modern CT equipments are able to export a JPEG version of each slide, a simple way to get the desired images into the user device is to send that JPEG images attached to an email.
CheckBRW work with axial (transverse) slices only, there is no support for coronal or sagittal views.
CheckBRW main axis are: latero-lateral (X), dorso-ventral (Y) and caudal-rostral (Z).
The mathematical algorithm used by CheckBRW includes corrections for tilted images (rotation around X and/or Y axis) as long as nine fiducials are present in the image. There is correction for rotation around Z up to 5 degrees. Linear image distortions are also corrected.
WARNING:
- Do not use CheckBRW for surgical decision making.
Do not use CheckBRW as the primary planning or computation system, it is intended to be a verification system.
- Do not use CheckBRW with data from any stereotactic apparatus different from Brown-Roberts-Wells.
If you have a stereotactic apparatus of other type, such as Leksell, CRW, ZD, please consider using StereoCheck app instead.
Step-By-Step:
1. Take a photo of your stereo-CT or stereo-MR or enter the images into the camera roll using any available way.
2. Tap the + button of the Target Image to select the image from the camera roll.
3. Tap the + button of Entry Point Image to select the image from the camera roll.
4. Tap Done. The target images will be presented.
5. Set the point-of-view of the image if necessary. Tap Done button.
6. Mark each fiducial on the image. CheckBRW uses nine (9) fiducials. Tap the Done button.
7. Mark the target point you want to reach and tap the Done button.
8. The entry point image will be shown. Tap the Done button.
Mark each fiducial on the image and tap the Done button. Mark the entry point and tap the Done button.
9. At this point the stereotactic parameters Depth, Alpha, Beta, Gamma and Delta will be computed and displayed.
If you want to keep a copy of results for your records, use the Compose button on top of the screen to send them by e-mail.
            
            Show More