DICOM Viewer : eMma
株式会社Kompath
1.0 ★
store rating
Free
About DICOM Viewer : eMma
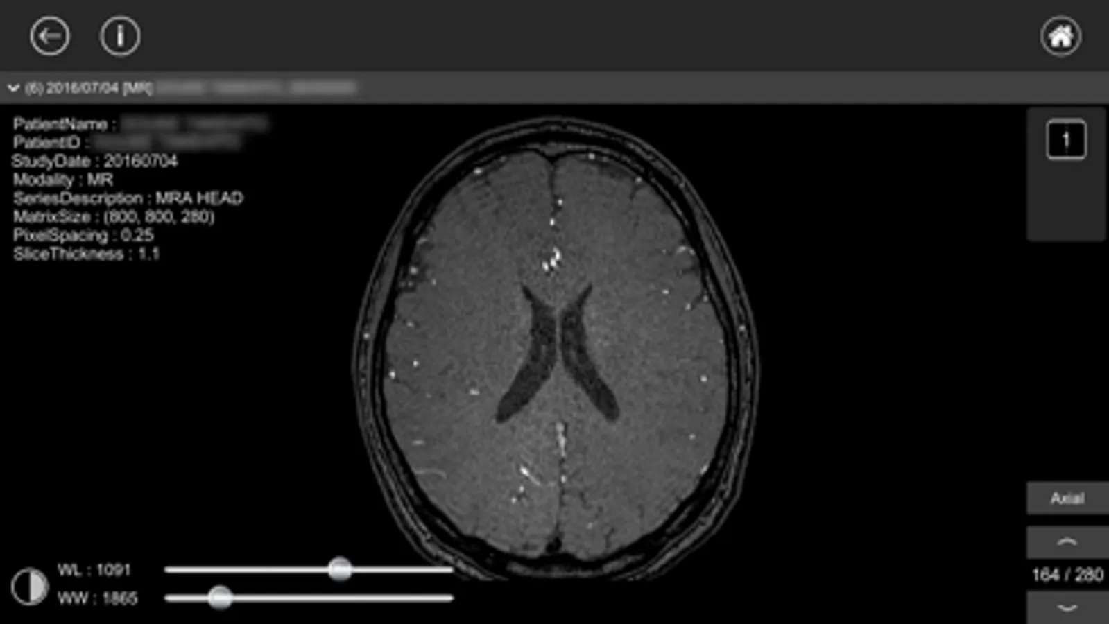
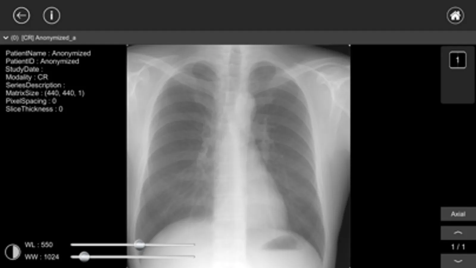
医用画像をあなたのiOSで。
MR、CT、SPECT、PET、X線、超音波などで撮影された医用画像(DICOM画像)を閲覧することができます。
医用画像はiTunes経由でご自身の端末に取り込みます。
取り込み後、本アプリを起動すると画像選択モードから始まり、詳しく見たい画像をタップすると閲覧モードに移行します。
【画像選択モード】
- 医用画像を高速に読み込み、複数の医用画像をすばやく同時に確認することができます。
- 患者名、撮影日、モダリティ、シーケンスごとに表示画像を切り替えることができます。
- 画像を上下にスライドすることでスライスの確認が出来ます。
- 閲覧したい医用画像をタップすると閲覧モードに移行します。
【閲覧モード】
- ウインドウレベルの調整、画像の拡大・平行移動がタッチ操作で簡単に行えます。
- CTやMR画像などは横断面(Axial)から再構成した冠状面(Coronal)、矢状面(Sagittal)画像を閲覧することができます。(3次元再構成)
- 2画面機能で画像間の比較ができます。
- シンクロ機能で2画面を同時に操作できます。
●Unite Tokyo 2018で紹介されました。
http://events.unity3d.jp/unitetokyo2018/session-lineup.html#session82
※マルチフレーム画像及び4D画像など、一部のDICOM画像には対応していません。
※端末メモリを超える量の画像を読み込むことはできません。
※スクリーンショットで使用しているDICOMデータおよび患者名は架空のものです。
※本アプリは東京大学医学部附属病院脳神経外科と共同で開発しました。
MR、CT、SPECT、PET、X線、超音波などで撮影された医用画像(DICOM画像)を閲覧することができます。
医用画像はiTunes経由でご自身の端末に取り込みます。
取り込み後、本アプリを起動すると画像選択モードから始まり、詳しく見たい画像をタップすると閲覧モードに移行します。
【画像選択モード】
- 医用画像を高速に読み込み、複数の医用画像をすばやく同時に確認することができます。
- 患者名、撮影日、モダリティ、シーケンスごとに表示画像を切り替えることができます。
- 画像を上下にスライドすることでスライスの確認が出来ます。
- 閲覧したい医用画像をタップすると閲覧モードに移行します。
【閲覧モード】
- ウインドウレベルの調整、画像の拡大・平行移動がタッチ操作で簡単に行えます。
- CTやMR画像などは横断面(Axial)から再構成した冠状面(Coronal)、矢状面(Sagittal)画像を閲覧することができます。(3次元再構成)
- 2画面機能で画像間の比較ができます。
- シンクロ機能で2画面を同時に操作できます。
●Unite Tokyo 2018で紹介されました。
http://events.unity3d.jp/unitetokyo2018/session-lineup.html#session82
※マルチフレーム画像及び4D画像など、一部のDICOM画像には対応していません。
※端末メモリを超える量の画像を読み込むことはできません。
※スクリーンショットで使用しているDICOMデータおよび患者名は架空のものです。
※本アプリは東京大学医学部附属病院脳神経外科と共同で開発しました。