App
Recs
A
R
iOS
Android
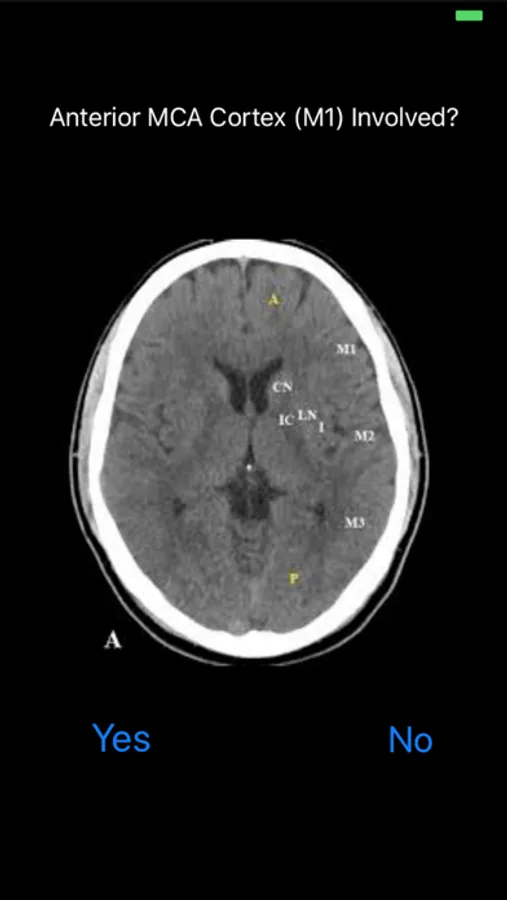
ASPECTS Score Calculator
Christopher Smith
Free
5.0
out of 5
undefined
downloads
iOS App Store
Find it for Android
About ASPECTS Score Calculator
An application for healthcare providers to help calculate an ASPECTS score when you need it most!
Show More
ASPECTS Score Calculator Screenshots
Similar to ASPECTS Score Calculator
Stroke Navigator
IV Stroke Thrombolysis
4.9
Neuro Tools
5.0
Neurology Reviews
5.0
AAN Continuum Audio
4.5
NeuroMind
4.3
CURRENT Dx Tx Neurology
5.0
NIHSS Stroke Scale
1.0