The e-Stroke Mobile app is a tool enabling physicians across a network to have quick, easy access to critical results – including pseudonymized scan results – strengthening the connection between clinicians, and facilitating faster treatment decisions.
e-Stroke is a collection of tools using our state-of-the-art AI algorithms to support doctors by providing real-time interpretation of brain scans to help guide treatment and transfer decisions for stroke patients, allowing more patients to get the right treatment, in the right place, at the right time.
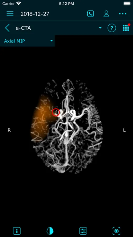
e-Stroke consists of three modules (e-ASPECTS*, e-CTA*, and e-CTP*), supporting the full range of stroke imaging needs, from simple NCCT scans, to more advanced CT Perfusion assessments.
To learn more about our transformative stroke solutions please visit www.brainomix.com
-----
The e-Stroke Mobile app is for informational purposes only and not for diagnostic decision making. Refer to the PACS or an approved radiology viewing display for diagnostic review and analysis.
*Products not available in all regions
e-Stroke is a collection of tools using our state-of-the-art AI algorithms to support doctors by providing real-time interpretation of brain scans to help guide treatment and transfer decisions for stroke patients, allowing more patients to get the right treatment, in the right place, at the right time.
e-Stroke consists of three modules (e-ASPECTS*, e-CTA*, and e-CTP*), supporting the full range of stroke imaging needs, from simple NCCT scans, to more advanced CT Perfusion assessments.
To learn more about our transformative stroke solutions please visit www.brainomix.com
-----
The e-Stroke Mobile app is for informational purposes only and not for diagnostic decision making. Refer to the PACS or an approved radiology viewing display for diagnostic review and analysis.
*Products not available in all regions
Show More