With this ultrasound simulator, you can practice probe movements, anatomy identification, and examination techniques. Includes virtual sound wave simulations, learning modules, and challenge scenarios.
About Deepscope Ultrasound Simulator
Learn ultrasound in a virtual ultrasound simulator. Deepscope ultrasound virtual learning modules are created to help learn the techniques of ultrasound.
The modules cover:
-Basic ultrasound or sonogram probe movement
-Anatomy relevant to the ultrasound scan examination
-Techniques for performing an aorta sonogram or ultrasound examination
-Techniques for performing echocardiography or echo
-Challenges
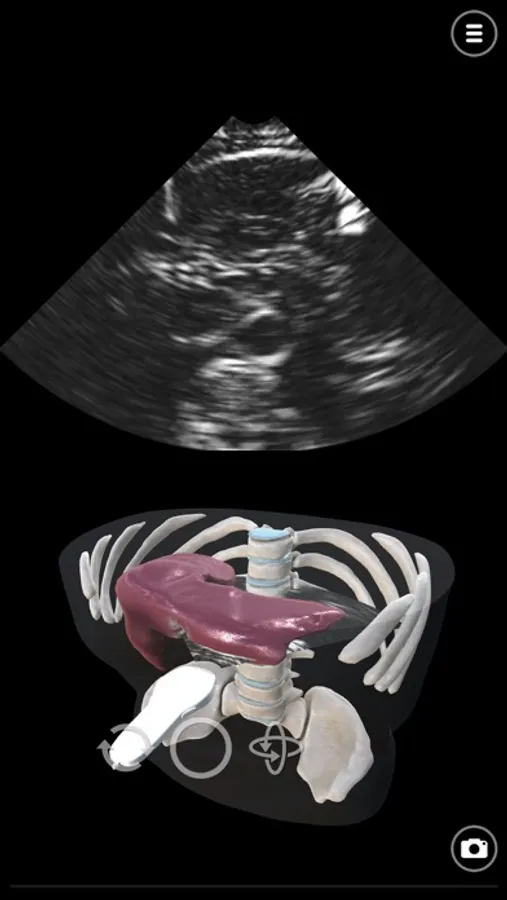
The ultrasound simulator uses advanced computer graphics techniques simulate sound waves. The sonogram is created as a result of these simulations.
The app is designed for learning sonography or ultrasound. It can be used for Emergency Medicine (ER) ultrasound, surgery (pre-surgical) ultrasound, orthopaedic ultrasound scanning, rheumatology sonography, the vascular ultrasound examination, opthalmology ultrasound and anaesthetic ultrasound (anaesthesiology). For cardiology we have echocardiography and echo simulations.
Terms of use: https://www.deepscope.co.uk/terms-of-use
In order to access the functionality of this app, you will need to purchase Deepscope Student edition.
The modules cover:
-Basic ultrasound or sonogram probe movement
-Anatomy relevant to the ultrasound scan examination
-Techniques for performing an aorta sonogram or ultrasound examination
-Techniques for performing echocardiography or echo
-Challenges
The ultrasound simulator uses advanced computer graphics techniques simulate sound waves. The sonogram is created as a result of these simulations.
The app is designed for learning sonography or ultrasound. It can be used for Emergency Medicine (ER) ultrasound, surgery (pre-surgical) ultrasound, orthopaedic ultrasound scanning, rheumatology sonography, the vascular ultrasound examination, opthalmology ultrasound and anaesthetic ultrasound (anaesthesiology). For cardiology we have echocardiography and echo simulations.
Terms of use: https://www.deepscope.co.uk/terms-of-use
In order to access the functionality of this app, you will need to purchase Deepscope Student edition.
Deepscope Ultrasound Simulator Screenshots
Tap to Rate: