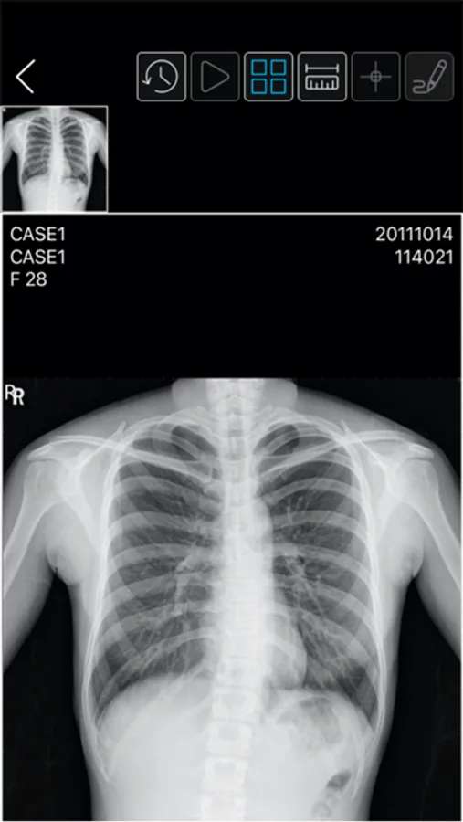
FHR App can receive DICOM images shared by PACS, modalities, or any DICOM compatible software via Wi-Fi or 3G/4G networks, support viewing of medical images in standard DICOM format, and allow multi-modality DICOM images to be stored on iOS-based devices.
The app is designed by EBM Technologies for the general public as an alternative to burning CDs when applying for hospital-to-hospital transfers, provides users with fast manipulation tools (zooming, panning, contrast, window/level adjustment, etc.) while browsing through images, and encompasses cross-platform DICOM image sharing feature.
It supports QR code sharing feature, specifically developed to facilitate the image sharing process, enabling users to share their medical exam images (CT, MRI, MG, XA, etc.) with hospitals/clinics for professional diagnosis.
Being able to share medial images easily, without using a physical CD, makes this digital solution environmentally friendly and avoids the wastage of resources for better sustainability.
Key Features:
1. Support DICOM images display and multi-frame DICOM images display/playback with a slice bar indicating slice number on each slice.
2. Support image zooming and panning.
3. Support contrast adjustment of image window and level.
4. Support linear measurement tool for measuring object sizes on the images.
5. Support full screen (1*1), 1*2 and 2*2 image viewing display.
6. Images thumbnail display on viewer.
7. Pixel value indicator available on viewer.
8. Notes taking tool available for each study.
9. Support JPG2000/JPG Lossless images.
10. Support DICOM image file(s) sharing via AirDrop and QR Code.
Requirement:
FHR app is a complementary solution to UDE (Ubiquitous Diagnosis Environment) app. For more information or how to install UDE app on your devices, please contact us through www.ebmtech.com.
The app is designed by EBM Technologies for the general public as an alternative to burning CDs when applying for hospital-to-hospital transfers, provides users with fast manipulation tools (zooming, panning, contrast, window/level adjustment, etc.) while browsing through images, and encompasses cross-platform DICOM image sharing feature.
It supports QR code sharing feature, specifically developed to facilitate the image sharing process, enabling users to share their medical exam images (CT, MRI, MG, XA, etc.) with hospitals/clinics for professional diagnosis.
Being able to share medial images easily, without using a physical CD, makes this digital solution environmentally friendly and avoids the wastage of resources for better sustainability.
Key Features:
1. Support DICOM images display and multi-frame DICOM images display/playback with a slice bar indicating slice number on each slice.
2. Support image zooming and panning.
3. Support contrast adjustment of image window and level.
4. Support linear measurement tool for measuring object sizes on the images.
5. Support full screen (1*1), 1*2 and 2*2 image viewing display.
6. Images thumbnail display on viewer.
7. Pixel value indicator available on viewer.
8. Notes taking tool available for each study.
9. Support JPG2000/JPG Lossless images.
10. Support DICOM image file(s) sharing via AirDrop and QR Code.
Requirement:
FHR app is a complementary solution to UDE (Ubiquitous Diagnosis Environment) app. For more information or how to install UDE app on your devices, please contact us through www.ebmtech.com.
Show More