Es una aplicación diseñada para el diagnóstico cefalométrico estático y dinámico, asi como para la previsualización terapéutica del tratamiento en pacientes de ortodoncia, ortopedia maxilar, cirugía maxilofacial , odontopediatría , implantólogía oral, rehabilitación oral, desórdenes temporo-mandibulares y de áreas aplicadas de la odontología en general .
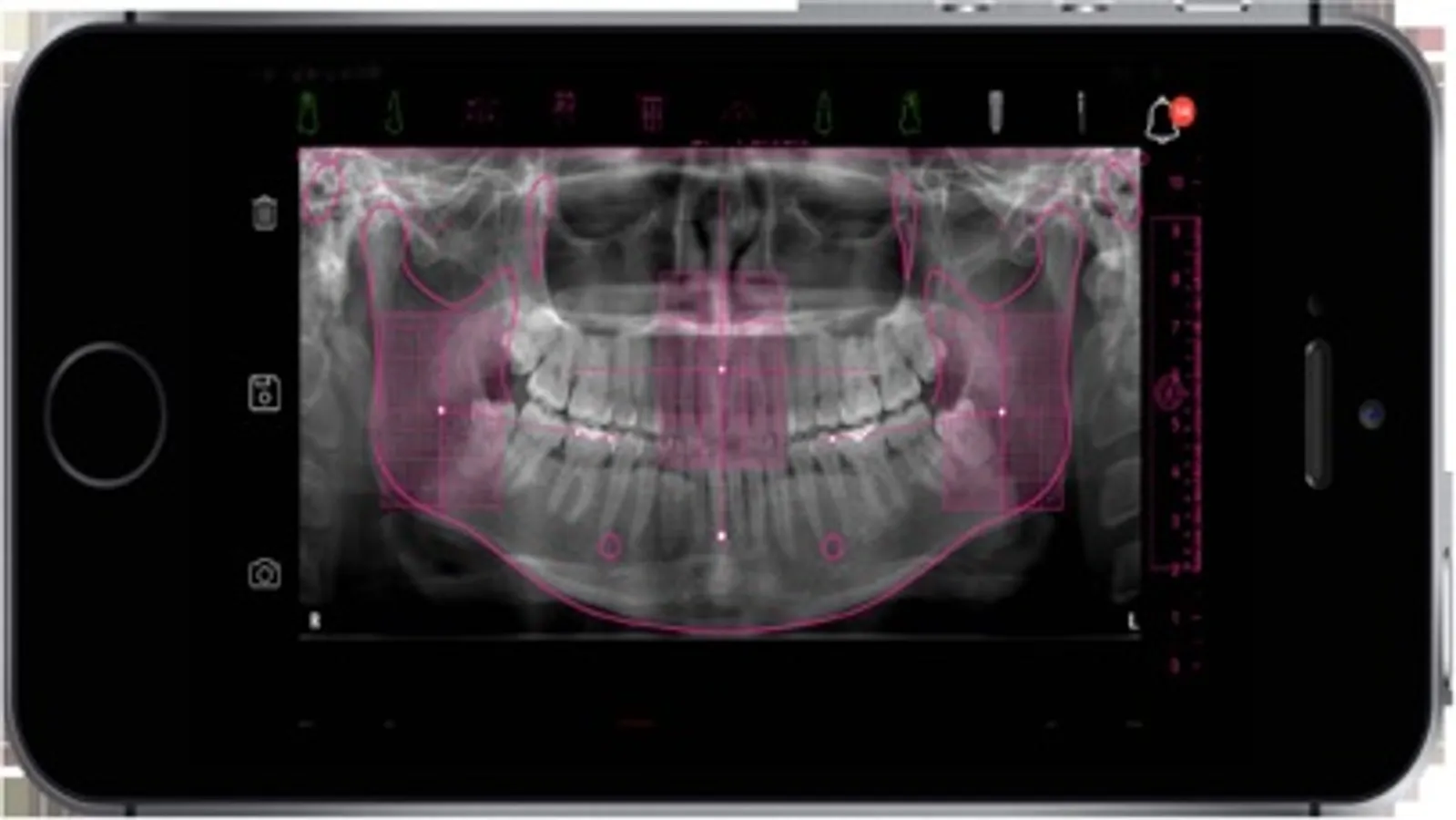
Esta app permite realizar el trazado de la panorámica de manera práctica y amigable, guiando al profesional en el trazado automático, por medio del touch control en pantalla con todas la áreas en auto-trazado, lo que agiliza y optimiza procesos y tiempo.
Adicionalmente permite el diagnóstico con la individualización del diagnóstico del paciente, al emplear los patrones del mismo paciente para medirlo. También permite simulación de movimientos dentales, lectura de la angulación de los ejes, de los implantes dentales, uso mini-implantes de anclaje esqueletico temporal para planeación biomecánica en ortodoncia. Asi mismo la captura, y socialización de imágenes diagnósticas por redes, correo o via celular entre otras.
Esta app permite realizar el trazado de la panorámica de manera práctica y amigable, guiando al profesional en el trazado automático, por medio del touch control en pantalla con todas la áreas en auto-trazado, lo que agiliza y optimiza procesos y tiempo.
Adicionalmente permite el diagnóstico con la individualización del diagnóstico del paciente, al emplear los patrones del mismo paciente para medirlo. También permite simulación de movimientos dentales, lectura de la angulación de los ejes, de los implantes dentales, uso mini-implantes de anclaje esqueletico temporal para planeación biomecánica en ortodoncia. Asi mismo la captura, y socialización de imágenes diagnósticas por redes, correo o via celular entre otras.
Show More