Neck lymph node map icon

Neck lymph node map

Tabnova Ltd.
Free
5.0 out of 5

About Neck lymph node map

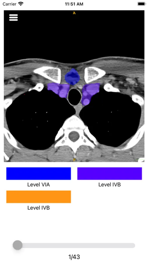
Neck lymph node map is an educational free app created for radiology residents and health care professionals practicing medical imaging. This robust app provides anatomical landmarks with an intuitive user interface for the description of neck lymph node levels on high-resolution axial CT soft tissue neck series using different color codes based on relevant cited literature. This app shows neck lymph node stations as visually well-delineated sections aiding in an easy understanding of the cervical lymph node levels, thereby contributing to more accurate diagnostic imaging interpretation at your fingertips on your mobile device.
Author: Dr. Sajeev Ezhapilli

Neck lymph node map Screenshots