AppRecs review analysis
AppRecs rating 4.1. Trustworthiness 77 out of 100. Review manipulation risk 21 out of 100. Based on a review sample analyzed.
★★★★☆
4.1
AppRecs Rating
Ratings breakdown
5 star
63%
4 star
19%
3 star
0%
2 star
0%
1 star
19%
What to know
✓
Low review manipulation risk
21% review manipulation risk
✓
Credible reviews
77% trustworthiness score from analyzed reviews
✓
High user satisfaction
81% of sampled ratings are 4+ stars (4.1★ average)
About AO/OTA Fracture Classification
Tool for classifying fractures
The 2018 AO/OTA Fracture and Dislocation Classification is a streamlined, concise, and clinically relevant tool for coding fractures and dislocations.
It is the standard classification used by trauma surgeons and physicians dealing with skeletal trauma worldwide. The Classification was revised in 2018 and the new app was updated to reflect these changes.
The app provides beginners and experts with a reference tool to:
• Learn how to apply the classification system
• Utilize common terminology when classifying fractures
• Apply the principles of fracture classification
• Provide standard codes for research purposes
The content and design of the app makes the Classification simpler to use. The AO/OTA Classification app makes injury descriptions more reliable, thus improving research and fracture outcomes assessments.
Features:
• Information regarding radiological investigations used for classifying a specific fracture
• Common pitfalls with imaging are addressed
• All new fracture illustrations
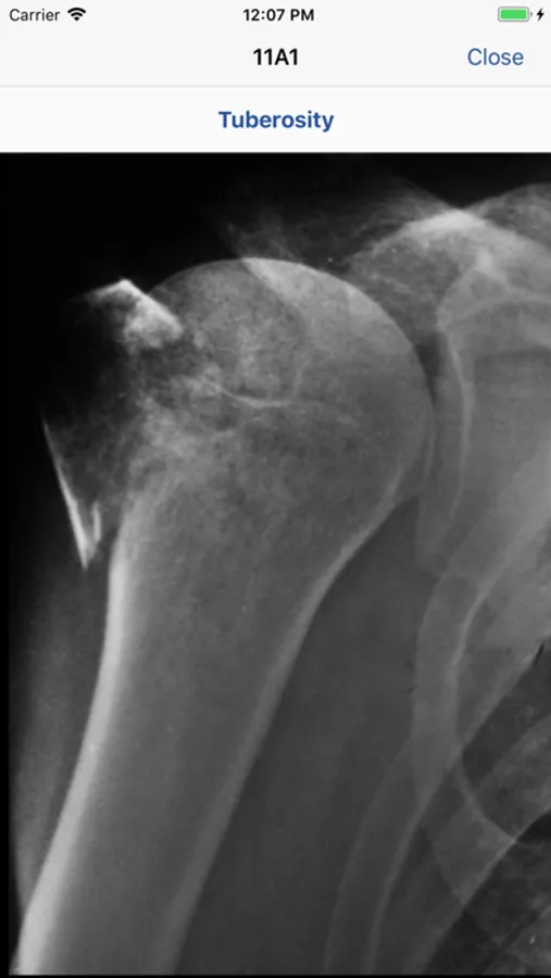
• High-quality, enlargeable x-rays are included
• Fracture codes can be added to "Favorites" for personalized reference
• The new "Search" function allows users to quickly access any fracture code
• Principles of fracture classification
The 2018 AO/OTA Fracture and Dislocation Classification is a streamlined, concise, and clinically relevant tool for coding fractures and dislocations.
It is the standard classification used by trauma surgeons and physicians dealing with skeletal trauma worldwide. The Classification was revised in 2018 and the new app was updated to reflect these changes.
The app provides beginners and experts with a reference tool to:
• Learn how to apply the classification system
• Utilize common terminology when classifying fractures
• Apply the principles of fracture classification
• Provide standard codes for research purposes
The content and design of the app makes the Classification simpler to use. The AO/OTA Classification app makes injury descriptions more reliable, thus improving research and fracture outcomes assessments.
Features:
• Information regarding radiological investigations used for classifying a specific fracture
• Common pitfalls with imaging are addressed
• All new fracture illustrations
• High-quality, enlargeable x-rays are included
• Fracture codes can be added to "Favorites" for personalized reference
• The new "Search" function allows users to quickly access any fracture code
• Principles of fracture classification