This is a comprehensive education app about ankylosing spondylitis. Whilst this pro app was designed for clinicians to provide patient education on AS, it can also be useful for patients and friends who want to know details about the diagnosis and treatment of ankylosing spondylitis.
REVIEWS
"Excellent. Nothing short of brilliant, has helped me piece together the jigsaw of missing answers I had wanted to understand.. What an app." - Paul Meenan UK
"Another great education app. This is a wonderful followup to iSpineCare with the emphasis on AS. We have been spending considerable time trying to educate physios around Australia about this condition as we feel it is not well recognised. This app is an excellent way for us to continue educating physios or any other health professional including our own staff. A great resource, with outstanding animation and radiographic examples. How good is that SIJ animation! Thanks again guys for developing this app. Keep up the good work." - Physiotherapist AUS
"Very good app . I find it difficult to get good and detailed information on AS and am pleased to have found this app.." - Impoftheyard UK
ADDITIONAL CONTENT
ANATOMY
• 3D animations on the normal anatomy of the cervical and lumbar spine and the sacro-iliac joint
PATHOLOGY
• 3D animations showing the progression of sacro-iliitis to fusion and syndesmophytes to ankylosis
CLINICAL DIAGNOSIS
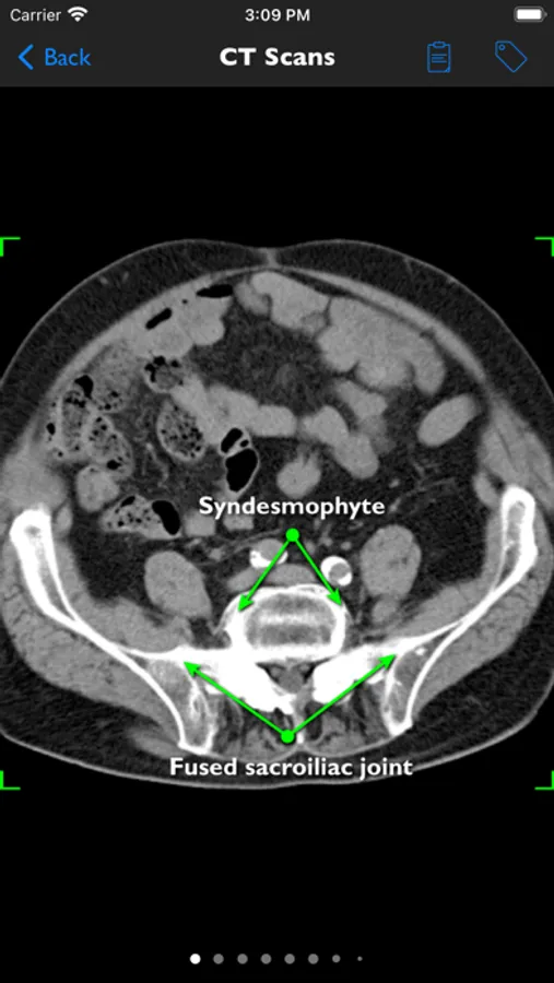
• detailed information on history, physical examination, assessment tools (printable), differential diagnosis, laboratory studies, histology and a medical imaging library of over 400 Xrays, CTs and MRIs
CLINICAL TREATMENT
• 50 additional exercise animations, 39 conservative spine care audio-visual animations, printable forms, patient and product information on commonly used medications, surgical information, case studies, prognosis and practice points
FURTHER INFO
• copies of ‘The Assessment of SpondyloArthritis International Society handbook’ and the NASS ‘Looking Ahead’ booklet.
CLINICIAN FEATURES
iAnkylosingSpondylitis Pro provides rapid, mobile, reproducible ankylosing spondylitis education.
Using verbal descriptions or still images alone for patient education is often ineffective in conveying the evolution of complex conditions. This is worsened when presenting to an un-informed audience in a time-poor, resource-limited, demanding medical environment. Patient education is improved with the use of this up-to-date technology which also provides clinician, clinic and insurer benefits. For clinicians, continuing education requires updatable access to the latest pathology, diagnostic and treatment protocols.
BENEFITS
Patient Benefits
• detailed education
• improved understanding
• more informed decisions
• improved compliance
• increased satisfaction
• better treatment outcomes
Clinician Benefits
• less time needed giving higher quality education
• increased physical examination / treatment time
• better management of client’s expectations
• happier clients
• shorter consultations
• increased client throughput
• fewer medico-legal issues
OTHER FEATURES
All content is kept with the device and iAnkSpond Pro is still fully functional in environments without an internet connection.
REVIEWS
"Excellent. Nothing short of brilliant, has helped me piece together the jigsaw of missing answers I had wanted to understand.. What an app." - Paul Meenan UK
"Another great education app. This is a wonderful followup to iSpineCare with the emphasis on AS. We have been spending considerable time trying to educate physios around Australia about this condition as we feel it is not well recognised. This app is an excellent way for us to continue educating physios or any other health professional including our own staff. A great resource, with outstanding animation and radiographic examples. How good is that SIJ animation! Thanks again guys for developing this app. Keep up the good work." - Physiotherapist AUS
"Very good app . I find it difficult to get good and detailed information on AS and am pleased to have found this app.." - Impoftheyard UK
ADDITIONAL CONTENT
ANATOMY
• 3D animations on the normal anatomy of the cervical and lumbar spine and the sacro-iliac joint
PATHOLOGY
• 3D animations showing the progression of sacro-iliitis to fusion and syndesmophytes to ankylosis
CLINICAL DIAGNOSIS
• detailed information on history, physical examination, assessment tools (printable), differential diagnosis, laboratory studies, histology and a medical imaging library of over 400 Xrays, CTs and MRIs
CLINICAL TREATMENT
• 50 additional exercise animations, 39 conservative spine care audio-visual animations, printable forms, patient and product information on commonly used medications, surgical information, case studies, prognosis and practice points
FURTHER INFO
• copies of ‘The Assessment of SpondyloArthritis International Society handbook’ and the NASS ‘Looking Ahead’ booklet.
CLINICIAN FEATURES
iAnkylosingSpondylitis Pro provides rapid, mobile, reproducible ankylosing spondylitis education.
Using verbal descriptions or still images alone for patient education is often ineffective in conveying the evolution of complex conditions. This is worsened when presenting to an un-informed audience in a time-poor, resource-limited, demanding medical environment. Patient education is improved with the use of this up-to-date technology which also provides clinician, clinic and insurer benefits. For clinicians, continuing education requires updatable access to the latest pathology, diagnostic and treatment protocols.
BENEFITS
Patient Benefits
• detailed education
• improved understanding
• more informed decisions
• improved compliance
• increased satisfaction
• better treatment outcomes
Clinician Benefits
• less time needed giving higher quality education
• increased physical examination / treatment time
• better management of client’s expectations
• happier clients
• shorter consultations
• increased client throughput
• fewer medico-legal issues
OTHER FEATURES
All content is kept with the device and iAnkSpond Pro is still fully functional in environments without an internet connection.
Show More