Patología Clínica es una herramienta fácil e indispensable para todo aquel que quiera conocer e interpretar los cortes patológicos e histológicos al microscopio de los diferentes órganos y sistemas del cuerpo humano. Incluye tinciones y un amplio glosario de términos de Patología.
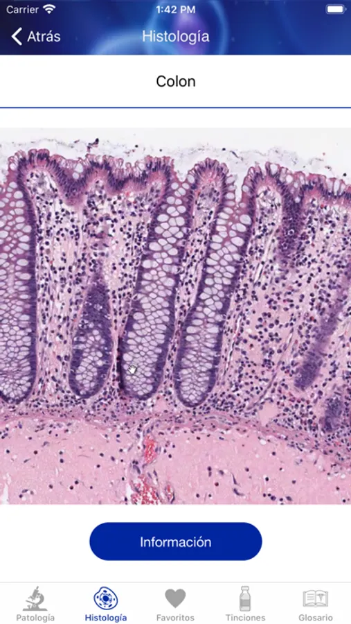
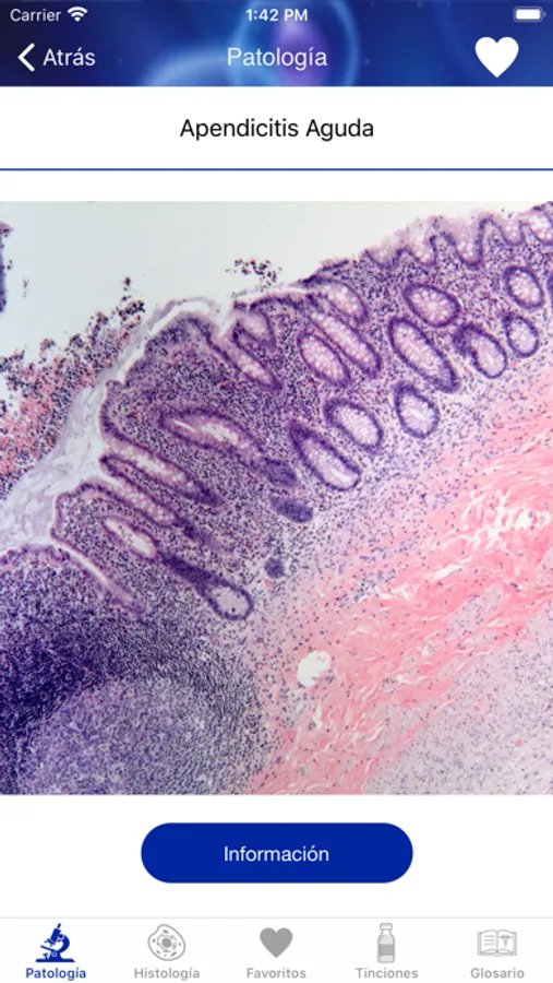
Todos las imágenes contienen una descripción completa y detallada de cada corte en la sección de información, así como la opción de hacerles acercamiento para una observación más completa.
Incluye:
-Cortes Patológicos:
-Adenocarcinoma de Glándula Mamaria
-Adenoma de Tiroides
-Amibiasis del Colon
-Amiloidosis Renal
-Apendicitis Aguda
-Ateroma de la Aorta
-Calcificación del Infarto Placentario
-Calcificación de la Media Arterial
-Carcinoma "in situ" de Cérvix Uterino
-Carcinoma invasor de Cérvix Uterino
-Coccidioidomicosis de Ganglio Linfático
-Colestasis Intrahepática
-Condiloma Acuminado
-Congestión, Edema y Antracosis de Pulmón
-Degeneración Hidrópica de Riñón
-Endocarditis Bacteriana
-Enterobiasis del Apéndice
-Esteatosis Hepática
-Fibroadenoma de Glándula Mamaria
-Glomerulopatía Lúpica
-Hiperplasia Difusa de Tiroides
-Hiperplasia Nodular de la Próstata
-Hipertrofia Gravídica de Útero
-Infarto Agudo de Miocardio
-Leiomioma de Útero
-Lepra
-Linfadenopatía de VIH
-Linfoma de Hodgkin
-Lipoma
-Meningitis Aguda
-Metaplasia Escamosa de Bronquio
-Micetoma
-Miocarditis
-Mucormicosis Rinocerebral
-Necrosis Caseosa de Ganglio Linfático
-Necrosis Enzimática de Páncreas
-Necrosis Isquémica de Pulmón
-Neumonia Lobar Aguda
-Nevo Intradérmico
-Osteocondroma
-Osteosarcoma
-Pericarditis Serofibrinosa Aguda
-Pielonefritis Aguda
-Pielonefritis Crónica
-Pólipo de la Rinitis Alérgica
-Salpingitis Tuberculosa
-Tiroiditis de Hashimoto
-Trombosis Venosa
-Tuberculosis Pulmonar
-Cortes Histológicos:
-Amígdala Palatina
-Apéndice
-Bazo
-Cerebelo
-Cerebro
-Colon
-Endometrio
-Esófago
-Estómago
-Ganglio linfático
-Glándula Mamaria
-Glándula submaxilar
-Glándula Suprarrenal
-Hígado
-Hipófisis
-Hueso Compacto
-Hueso Esponjoso
-Intestino delgado
-Médula Espinal
-Miocardio
-Miométrio
-Mucosa Nasal
-Páncreas
-Piel
-Plexos Coroides
-Pulmón
-Riñón
-Sangre Periférica
-Timo
-Tiroides
-Trompa uterina
-Útero
-Vasos Sanguíneos
-Vejiga Mucosa Vesical
-Vesícula biliar
-Tinciones:
-Azul Alcian
-Gram
-Hematoxilina & Eosina
-Inmunohistoquímica
-May Grunwald-Giemsa
-Mucicarmín
-PAS
-Rojo Congo
-Sudán IV
-Tricrómica de Gomori
-Tricrómica de Masson
-Wright
-Ziehl
-Glosario Patológico
Comentarios y Sugerencias
http://maddevsoftware.wordpress.com
Soporte Técnico
Contáctanos a maddevsoft@hotmail.com
Todos las imágenes contienen una descripción completa y detallada de cada corte en la sección de información, así como la opción de hacerles acercamiento para una observación más completa.
Incluye:
-Cortes Patológicos:
-Adenocarcinoma de Glándula Mamaria
-Adenoma de Tiroides
-Amibiasis del Colon
-Amiloidosis Renal
-Apendicitis Aguda
-Ateroma de la Aorta
-Calcificación del Infarto Placentario
-Calcificación de la Media Arterial
-Carcinoma "in situ" de Cérvix Uterino
-Carcinoma invasor de Cérvix Uterino
-Coccidioidomicosis de Ganglio Linfático
-Colestasis Intrahepática
-Condiloma Acuminado
-Congestión, Edema y Antracosis de Pulmón
-Degeneración Hidrópica de Riñón
-Endocarditis Bacteriana
-Enterobiasis del Apéndice
-Esteatosis Hepática
-Fibroadenoma de Glándula Mamaria
-Glomerulopatía Lúpica
-Hiperplasia Difusa de Tiroides
-Hiperplasia Nodular de la Próstata
-Hipertrofia Gravídica de Útero
-Infarto Agudo de Miocardio
-Leiomioma de Útero
-Lepra
-Linfadenopatía de VIH
-Linfoma de Hodgkin
-Lipoma
-Meningitis Aguda
-Metaplasia Escamosa de Bronquio
-Micetoma
-Miocarditis
-Mucormicosis Rinocerebral
-Necrosis Caseosa de Ganglio Linfático
-Necrosis Enzimática de Páncreas
-Necrosis Isquémica de Pulmón
-Neumonia Lobar Aguda
-Nevo Intradérmico
-Osteocondroma
-Osteosarcoma
-Pericarditis Serofibrinosa Aguda
-Pielonefritis Aguda
-Pielonefritis Crónica
-Pólipo de la Rinitis Alérgica
-Salpingitis Tuberculosa
-Tiroiditis de Hashimoto
-Trombosis Venosa
-Tuberculosis Pulmonar
-Cortes Histológicos:
-Amígdala Palatina
-Apéndice
-Bazo
-Cerebelo
-Cerebro
-Colon
-Endometrio
-Esófago
-Estómago
-Ganglio linfático
-Glándula Mamaria
-Glándula submaxilar
-Glándula Suprarrenal
-Hígado
-Hipófisis
-Hueso Compacto
-Hueso Esponjoso
-Intestino delgado
-Médula Espinal
-Miocardio
-Miométrio
-Mucosa Nasal
-Páncreas
-Piel
-Plexos Coroides
-Pulmón
-Riñón
-Sangre Periférica
-Timo
-Tiroides
-Trompa uterina
-Útero
-Vasos Sanguíneos
-Vejiga Mucosa Vesical
-Vesícula biliar
-Tinciones:
-Azul Alcian
-Gram
-Hematoxilina & Eosina
-Inmunohistoquímica
-May Grunwald-Giemsa
-Mucicarmín
-PAS
-Rojo Congo
-Sudán IV
-Tricrómica de Gomori
-Tricrómica de Masson
-Wright
-Ziehl
-Glosario Patológico
Comentarios y Sugerencias
http://maddevsoftware.wordpress.com
Soporte Técnico
Contáctanos a maddevsoft@hotmail.com
Show More