StereoCheck
Mevis Informática Médica Ltda.
$9.99
About StereoCheck
Check your Cartesian stereotactic coordinates with an independent system !
StereoCheck is a mobile application designed to compute target coordinates using several hardware manufacturers frames and models.
WARNING : Do not use StereoCheck for surgical decision making.
Do not use StereoCheck as the primary planning or computation system, it is intended to be a verification system.
StereoCheck is also a valuable educational tool for beginners in the field of stereotaxy.
The present version of StereoCheck has support for FiMe, Bramsys, Leksell, CRW, Micromar, Macom, inomed-ZD, Brainlab, Estereoflex and Adeor-Zeppelin frames.
StereoCheck main axis are: latero-lateral (X), dorso-ventral (Y) and caudal-rostral (Z). The mathematical algorithm used by StereoCheck includes corrections for tilted images (rotation around X and/or Y axis) as long as nine fiducials are present in the image. There is correction for rotation around Z up to 5 degrees. Linear image distortions are also corrected.
Step-By-Step:
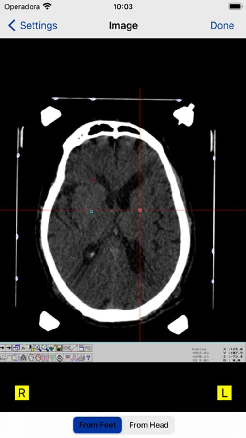
Take a photo of your stereo-CT or stereo-MR or enter the image into the camera roll using any available way. StereoCheck work with axial (transverse) CT slices only, there is no support for coronal or sagittal views.
Select the stereotactic frame and model being used. For some frames, such as FiMe and Bramsys, the fiducials orientation must be defined.
Select the image from the camera roll.
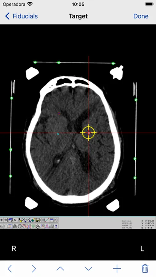
Mark each fiducial on the image. StereoCheck use nine (9) fiducials, except for Brainlab frame, that uses only six (6). If you are using a ZD system, ignore the occipital fiducials.
Mark the target point you want to reach and tap the Done button. At this point the stereotactic coordinates will be computed and displayed.
If you want to keep a copy of results for your records, use the Compose button on top of the screen to send them by e-mail.
StereoCheck is a mobile application designed to compute target coordinates using several hardware manufacturers frames and models.
WARNING : Do not use StereoCheck for surgical decision making.
Do not use StereoCheck as the primary planning or computation system, it is intended to be a verification system.
StereoCheck is also a valuable educational tool for beginners in the field of stereotaxy.
The present version of StereoCheck has support for FiMe, Bramsys, Leksell, CRW, Micromar, Macom, inomed-ZD, Brainlab, Estereoflex and Adeor-Zeppelin frames.
StereoCheck main axis are: latero-lateral (X), dorso-ventral (Y) and caudal-rostral (Z). The mathematical algorithm used by StereoCheck includes corrections for tilted images (rotation around X and/or Y axis) as long as nine fiducials are present in the image. There is correction for rotation around Z up to 5 degrees. Linear image distortions are also corrected.
Step-By-Step:
Take a photo of your stereo-CT or stereo-MR or enter the image into the camera roll using any available way. StereoCheck work with axial (transverse) CT slices only, there is no support for coronal or sagittal views.
Select the stereotactic frame and model being used. For some frames, such as FiMe and Bramsys, the fiducials orientation must be defined.
Select the image from the camera roll.
Mark each fiducial on the image. StereoCheck use nine (9) fiducials, except for Brainlab frame, that uses only six (6). If you are using a ZD system, ignore the occipital fiducials.
Mark the target point you want to reach and tap the Done button. At this point the stereotactic coordinates will be computed and displayed.
If you want to keep a copy of results for your records, use the Compose button on top of the screen to send them by e-mail.