Introducing the Atlas of Medical Devices on Chest Radiography – one of the largest and most comprehensive collections of medical devices on chest radiography in existence. This app is an outstanding resource for physicians, physicians-in-training, and many healthcare providers who encounter medical devices on chest x-rays in daily practice. Review and explore the appearances of common and uncommon medical devices, organized by category. Search for a medical device in seconds using this app's lightning quick search feature.
Browse
· Countless images, organized into the following categories: Common Cardiac Conduction Devices, Less Common Cardiac Conduction Devices, Vascular Devices, Airway Devices, Enteric Devices, Neurological Devices, Musculoskeletal Devices, and Miscellanenous Devices.
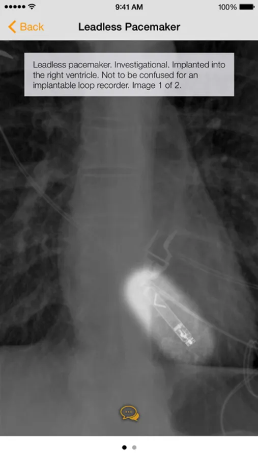
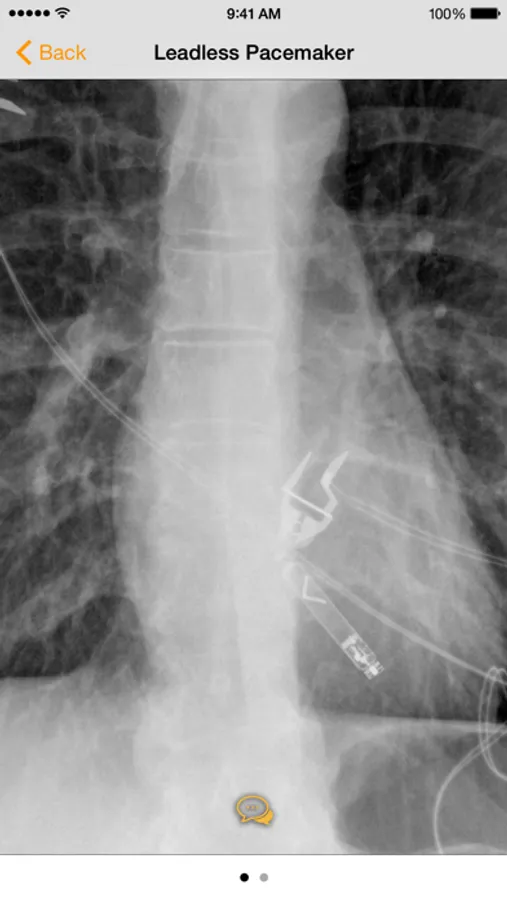
· Tap the caption icon to read more about the device and to see it highlighted on the chest radiograph.
Discover
· Outstanding search engine returns items tailored to your interest, always appropriated categorized.
Requirements
· Requires a device with iOS 8 or later
Browse
· Countless images, organized into the following categories: Common Cardiac Conduction Devices, Less Common Cardiac Conduction Devices, Vascular Devices, Airway Devices, Enteric Devices, Neurological Devices, Musculoskeletal Devices, and Miscellanenous Devices.
· Tap the caption icon to read more about the device and to see it highlighted on the chest radiograph.
Discover
· Outstanding search engine returns items tailored to your interest, always appropriated categorized.
Requirements
· Requires a device with iOS 8 or later
Show More