The application "Touch Displasia" is designed as a tool to help people working in the area of Health and who are NOT specialists in Orthopedics and Traumatology.
The objective of the application is to provide the marking and tracing of the angles in the pelvic AP radiography obtained and finally to provide a measurement and guidelines that can help in the early and opportune diagnosis of the Hip Development Dysplasia, subluxation and / or dislocation
Instructions for its use:
1. Before using the application, you must take a photograph of the AP pelvis Rx you want to measure (clear and as close as possible) in such a way that it is recorded in your image gallery.
2. Read carefully the terms and conditions.
3. Once the terms and conditions are accepted, you can use the application.
4. Add the picture taken by pressing the "+" icon (with the phone in an upright position).
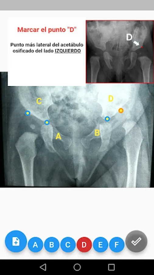
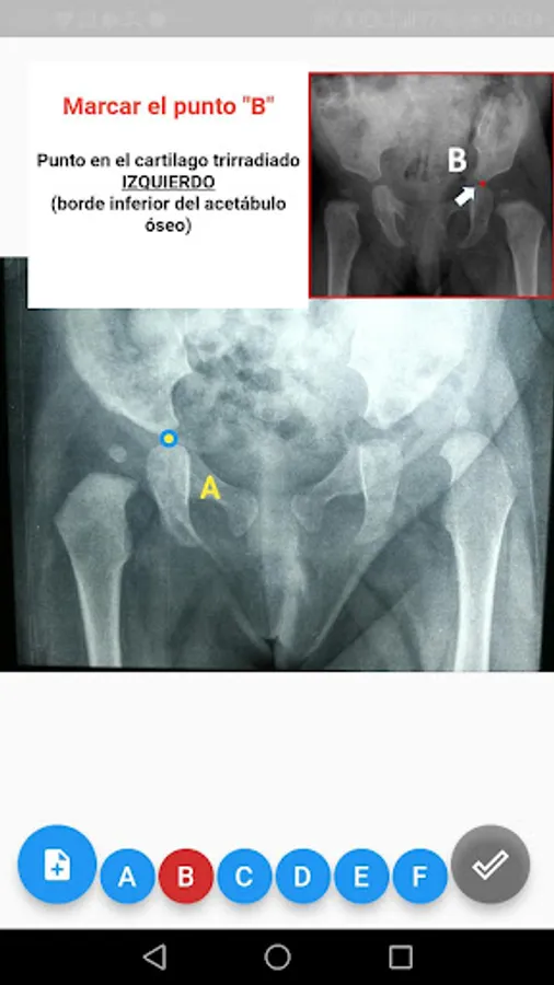
5. Start the marking by pressing the icon with the letter "A", follow the instructions in the box and the image provided. Subsequently, you can pass icons B, C, D, E, F consecutively.
6. It is possible to press any of the icons (A, B, C, D, E, F) and modify the points in case it is necessary to change the initial marking.
7. Finally press the "right sign" icon
The application will make the measurements of the angles according to your marking and will provide you with a green box that will help you to detect the position of the hips.
IMPORTANT:
The application is only an aid instrument and does not replace a medical consultation in any way.
The results obtained are in direct relation with the type of radiography, the photograph taken and the marking done; there may be variations.
The user is solely responsible for the use of the application according to the regulations in force in his country.
          The objective of the application is to provide the marking and tracing of the angles in the pelvic AP radiography obtained and finally to provide a measurement and guidelines that can help in the early and opportune diagnosis of the Hip Development Dysplasia, subluxation and / or dislocation
Instructions for its use:
1. Before using the application, you must take a photograph of the AP pelvis Rx you want to measure (clear and as close as possible) in such a way that it is recorded in your image gallery.
2. Read carefully the terms and conditions.
3. Once the terms and conditions are accepted, you can use the application.
4. Add the picture taken by pressing the "+" icon (with the phone in an upright position).
5. Start the marking by pressing the icon with the letter "A", follow the instructions in the box and the image provided. Subsequently, you can pass icons B, C, D, E, F consecutively.
6. It is possible to press any of the icons (A, B, C, D, E, F) and modify the points in case it is necessary to change the initial marking.
7. Finally press the "right sign" icon
The application will make the measurements of the angles according to your marking and will provide you with a green box that will help you to detect the position of the hips.
IMPORTANT:
The application is only an aid instrument and does not replace a medical consultation in any way.
The results obtained are in direct relation with the type of radiography, the photograph taken and the marking done; there may be variations.
The user is solely responsible for the use of the application according to the regulations in force in his country.
            
            Show More