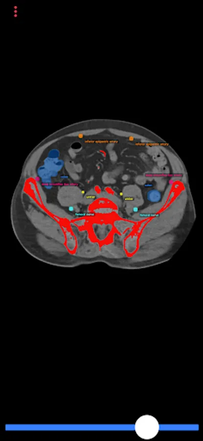
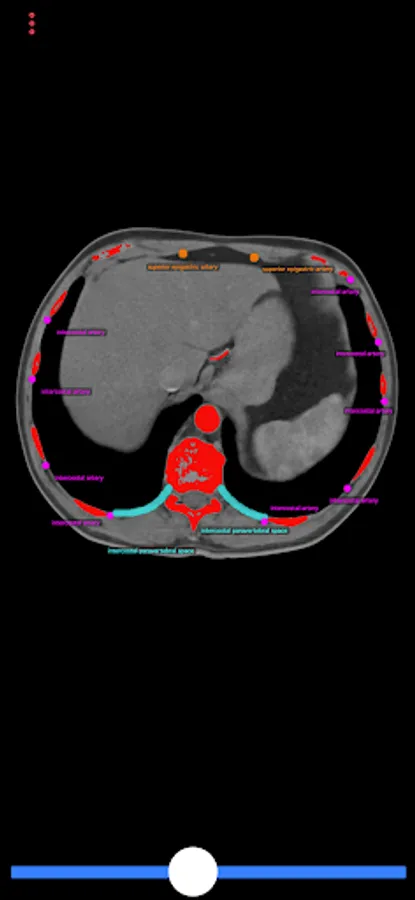
This app consists of body-CT scan (computer-tomography), which demonstrates possible puncture sides and anatomical structures to avoid during the interventions. The user can scroll up and down in the cross sections of the CT scan to find the ideal puncture access.
This app can guide interventional and general radiologists, but also general practitioners or any diagnostic doctor to perform a safe biopsy or drainage catheter placement without injuring the patients.
          This app can guide interventional and general radiologists, but also general practitioners or any diagnostic doctor to perform a safe biopsy or drainage catheter placement without injuring the patients.
            
            Show More