iRadTech Lite is a demo of the iRadTech Radiographic Positioning app.
It contains only 6 positions instead of the 200+ in the full-featured iRadTech app.
Each position includes:
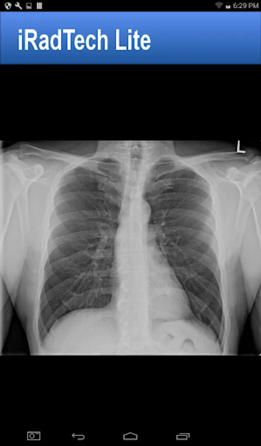
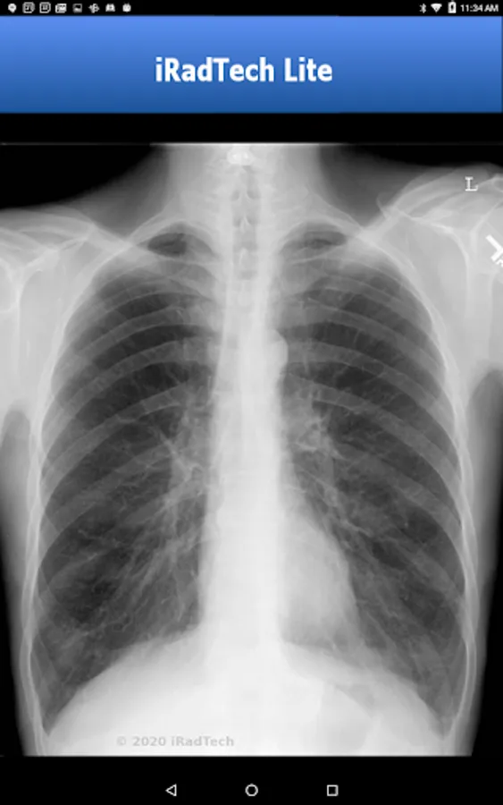
- Suggested technical factors, image receptor size, patient and part positioning, respiration, central ray centering and angulation, image quality points and structures demonstrated.
- Photograph showing patient properly positioned and a radiograph of acceptable quality
- A Note button for saving mAs, kVp, and other useful information for that position.
- Search function finds positions whose titles and/or instructions contain the entered term
- My Notes allows creation, saving and editing of notes not related to a position
- My Routines allows creation, saving and editing of groups of user selected positions
radiology, radiologic technology, radiologic technologist, medical, medical imaging, rad tech, rt, radiographic position, free
It contains only 6 positions instead of the 200+ in the full-featured iRadTech app.
Each position includes:
- Suggested technical factors, image receptor size, patient and part positioning, respiration, central ray centering and angulation, image quality points and structures demonstrated.
- Photograph showing patient properly positioned and a radiograph of acceptable quality
- A Note button for saving mAs, kVp, and other useful information for that position.
- Search function finds positions whose titles and/or instructions contain the entered term
- My Notes allows creation, saving and editing of notes not related to a position
- My Routines allows creation, saving and editing of groups of user selected positions
radiology, radiologic technology, radiologic technologist, medical, medical imaging, rad tech, rt, radiographic position, free
Show More