About iPancreas
This application was developed by Acute Pancreatitis Study Group of Santa Casa de de São Paulo School of Medicine, in order to make the diagnosis, monitoring and treatment of acute pancreatitis easier, accessible and standardized, avoiding complications of this disease.
The content information of this application was based on the management of acute pancreatitis at the Central Emergency of Santa Casa de São Paulo, available at “Pancreatite Aguda” from Tercio de Campos and Samir Rassian, and the American College of Gastroenterology Guideline for management of acute pancreatitis (2013), which can be found at “Full Guideline”, on the main screen of this application.
Resource:
- Diagnostic criteria
- Calculators major severity scores (Apache II, SOFA, Modified Marshall, Atlanta 2013, Severity determinants, Ranson, Balthazar-Ranson)
- Indications of specific tests
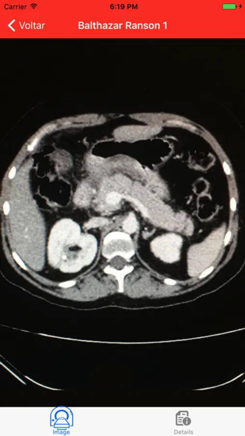
- CT Images
Organization: Study group of Acute pancreatitis of Faculdade de Ciências Médicas da Santa Casa de São Paulo
Idealization: Dr. Tercio de Campos
Realization: Angelo Chelotti Duarte
Contribution: Aline Celeghini Rosa Vicente (overall coordination), Vitor Minari Campos, Rodrigo de Almeida Mastrorosa, Bruna do Nascimento Santos
Support: Centro Acadêmico Manoel de Abreu
--WARNING--
The information provided by this app is solely at your own risk. The authors disclaim responsibility for any injury to persons resulting from use of this app.
The content information of this application was based on the management of acute pancreatitis at the Central Emergency of Santa Casa de São Paulo, available at “Pancreatite Aguda” from Tercio de Campos and Samir Rassian, and the American College of Gastroenterology Guideline for management of acute pancreatitis (2013), which can be found at “Full Guideline”, on the main screen of this application.
Resource:
- Diagnostic criteria
- Calculators major severity scores (Apache II, SOFA, Modified Marshall, Atlanta 2013, Severity determinants, Ranson, Balthazar-Ranson)
- Indications of specific tests
- CT Images
Organization: Study group of Acute pancreatitis of Faculdade de Ciências Médicas da Santa Casa de São Paulo
Idealization: Dr. Tercio de Campos
Realization: Angelo Chelotti Duarte
Contribution: Aline Celeghini Rosa Vicente (overall coordination), Vitor Minari Campos, Rodrigo de Almeida Mastrorosa, Bruna do Nascimento Santos
Support: Centro Acadêmico Manoel de Abreu
--WARNING--
The information provided by this app is solely at your own risk. The authors disclaim responsibility for any injury to persons resulting from use of this app.
iPancreas Screenshots
Tap to Rate: