Clinical parasitology images, identification highlights, and flash cards…all in one app!
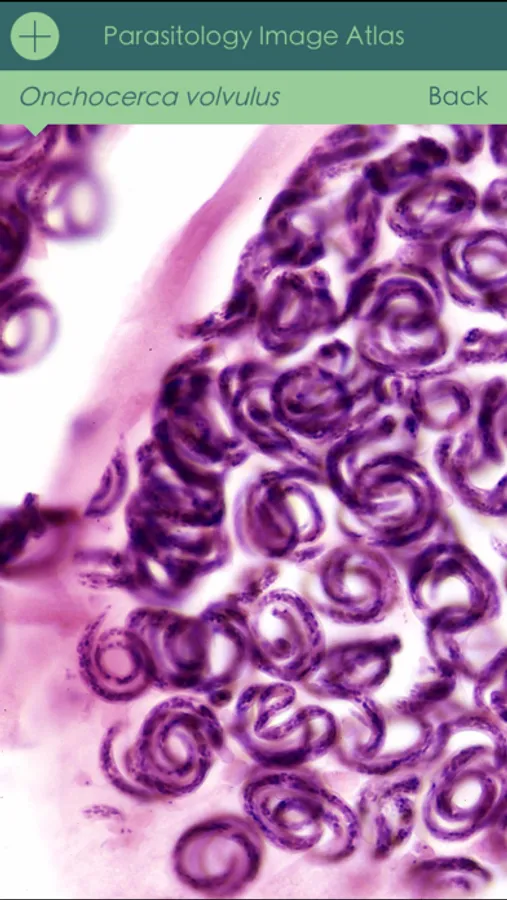
Included are human parasites and a large collection of artifacts. Indiana Pathology Images™ presents this app containing quality copyrighted photomicrographs that will serve as a valuable resource for educators, students and practitioners. The authors have gone to great lengths to assure the standardization of image sizes. For comparative purposes, magnification is provided for all microscopic images.
This app is designed as an educational tool. It is beyond the scope of this atlas to be all inclusive.
Have fun with this visual review!
Included are human parasites and a large collection of artifacts. Indiana Pathology Images™ presents this app containing quality copyrighted photomicrographs that will serve as a valuable resource for educators, students and practitioners. The authors have gone to great lengths to assure the standardization of image sizes. For comparative purposes, magnification is provided for all microscopic images.
This app is designed as an educational tool. It is beyond the scope of this atlas to be all inclusive.
Have fun with this visual review!
Show More