In this educational app, you can review histology slides, test your knowledge, and explore micrographs with interactive modes. Includes labeled slide mode, quiz and test features, and comprehensive navigation tools.
AppRecs review analysis
AppRecs rating 4.5. Trustworthiness 59 out of 100. Review manipulation risk 28 out of 100. Based on a review sample analyzed.
★★★★☆
4.5
AppRecs Rating
Ratings breakdown
5 star
97%
4 star
3%
3 star
0%
2 star
0%
1 star
0%
What to know
✓
High user satisfaction
97% of sampled ratings are 5 stars
About Histo!
Histo! helps you learn histology and test your knowledge. It is the favorite study aid of medical and dental students in histology courses at the University of Utah.
The App currently contains 2179 identification slides, based on 547 photomicrographic images. It is organized into 19 Main Topics and 148 Subtopics.
It does not require an internet connection.
NAVIGATION
•Three navigation menus are provided, one to choose among the Main Topics, a second to select Subtopics of the Main Topics, and a Search feature to find slides using 675 keywords. These meus allow you focus your study as broadly or narrowly as desired.
•Once slides are displayed, a one-finger left or right swipe moves forward or backward by one slide, a two-finger swipe jumps 10 slides.
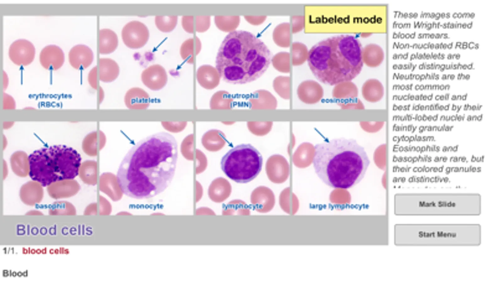
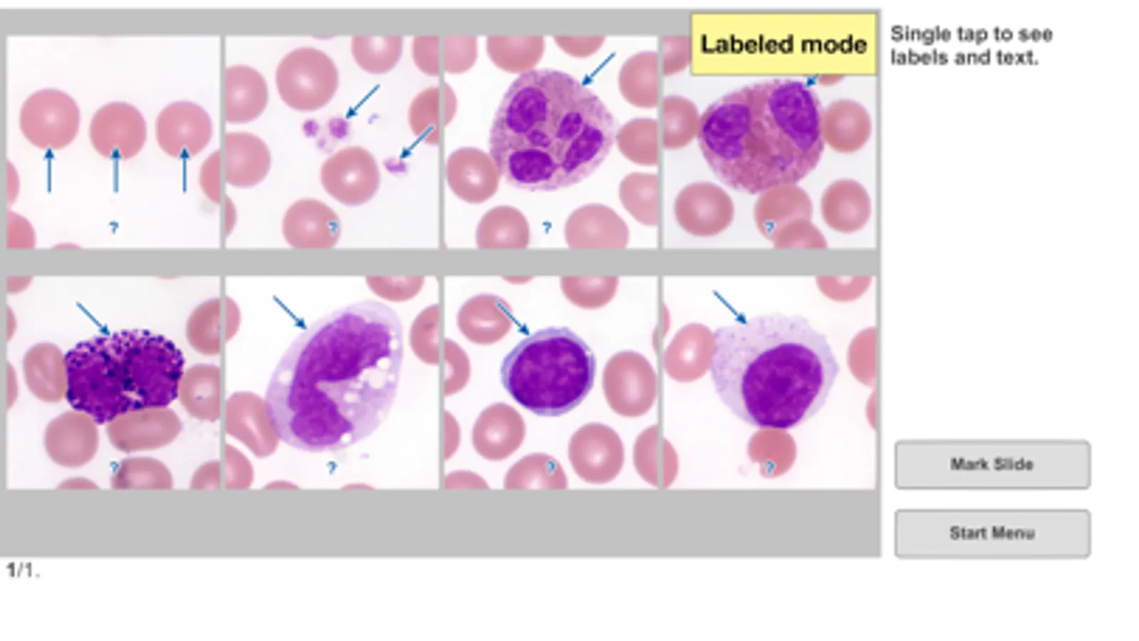
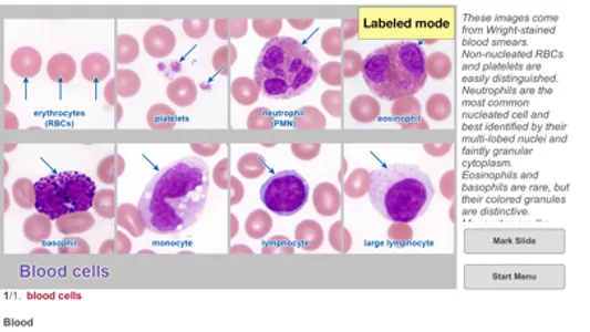
LABELED SLIDE MODE
•This mode presents 92 micrographs that cover the Main Topics. Important structural features are named, and short explanations are given. These micrographs provide an efficient way for anyone new to a topic to quickly learn the identifications and spatial relationships of the microanatomy that are key for identifying tissues and organs.
•The labels can be turned on and off by tapping, allowing immediate self-testing while learning.
LEARN, QUIZ, and TEST (LQT) MODES
•These modes are based on 2087 questions and answers related to 455 micrographs.
•In the Learn mode, each slide displays a question, the answer, and a short explanation. The slides are presented in a logical order that helps you learn the material.
•In the Quiz mode, only the question is shown, and the order of presentation is randomized. You can tap to see the answer and explanation. A Quiz persists until the user deletes it.
•In the Test mode, you tap to display the built-in keyboard to answer the question, then grade your response. Results for each Main Topic are shown when you have finished a Test.
STRUCTURES AND ADDITIONAL FEATURES
•Histo! addresses both microanatomy and functional histology. About 70% of the LQT slides ask for identification of structures, the remainder are related to other features of these structures, such as functions, molecular components, or diseases.
•From the Main Topic menu, you choose whether to review structures or other features, or both.
MARKING AND UNMARKING SLIDES
•Slides in any mode may be marked for later review. This happens automatically when you miss a question in the Test mode, and by tapping a button in the Label, Learn, or Quiz modes.
•Whenever you return to the Start screen, either during a session or later after exiting, you are offered the chance to review slides marked in any of the four modes. Buttons to review marked slides are also present on the Main and Subtopics menus.
•Slides that have been marked can be unmarked during a review by scoring the question as completely correct in the Test mode or tapping a button in the Learn or Quiz modes.
SHOWING SPECIFIC SLIDES
•Identifiers for slides viewed in the Labeled, Learn or Quiz modes can be recorded and then distributed via electronic documents. Anyone importing these identifiers can view the slides in the Learn mode.
•Students can ask for help with a structural or functional question related to a specific slide and instructors can present preselected examples to an individual or group.
The App currently contains 2179 identification slides, based on 547 photomicrographic images. It is organized into 19 Main Topics and 148 Subtopics.
It does not require an internet connection.
NAVIGATION
•Three navigation menus are provided, one to choose among the Main Topics, a second to select Subtopics of the Main Topics, and a Search feature to find slides using 675 keywords. These meus allow you focus your study as broadly or narrowly as desired.
•Once slides are displayed, a one-finger left or right swipe moves forward or backward by one slide, a two-finger swipe jumps 10 slides.
LABELED SLIDE MODE
•This mode presents 92 micrographs that cover the Main Topics. Important structural features are named, and short explanations are given. These micrographs provide an efficient way for anyone new to a topic to quickly learn the identifications and spatial relationships of the microanatomy that are key for identifying tissues and organs.
•The labels can be turned on and off by tapping, allowing immediate self-testing while learning.
LEARN, QUIZ, and TEST (LQT) MODES
•These modes are based on 2087 questions and answers related to 455 micrographs.
•In the Learn mode, each slide displays a question, the answer, and a short explanation. The slides are presented in a logical order that helps you learn the material.
•In the Quiz mode, only the question is shown, and the order of presentation is randomized. You can tap to see the answer and explanation. A Quiz persists until the user deletes it.
•In the Test mode, you tap to display the built-in keyboard to answer the question, then grade your response. Results for each Main Topic are shown when you have finished a Test.
STRUCTURES AND ADDITIONAL FEATURES
•Histo! addresses both microanatomy and functional histology. About 70% of the LQT slides ask for identification of structures, the remainder are related to other features of these structures, such as functions, molecular components, or diseases.
•From the Main Topic menu, you choose whether to review structures or other features, or both.
MARKING AND UNMARKING SLIDES
•Slides in any mode may be marked for later review. This happens automatically when you miss a question in the Test mode, and by tapping a button in the Label, Learn, or Quiz modes.
•Whenever you return to the Start screen, either during a session or later after exiting, you are offered the chance to review slides marked in any of the four modes. Buttons to review marked slides are also present on the Main and Subtopics menus.
•Slides that have been marked can be unmarked during a review by scoring the question as completely correct in the Test mode or tapping a button in the Learn or Quiz modes.
SHOWING SPECIFIC SLIDES
•Identifiers for slides viewed in the Labeled, Learn or Quiz modes can be recorded and then distributed via electronic documents. Anyone importing these identifiers can view the slides in the Learn mode.
•Students can ask for help with a structural or functional question related to a specific slide and instructors can present preselected examples to an individual or group.
Histo! Screenshots
Tap to Rate:
Reviews for Histo!
Socks & sandles
Good for histo
I’m a second year medical student. Helped a lot with histology. After studying I would use this app to get a large volume of images. I would like to see a feature in the app to view infectious tissue such as osteomyelitis.
son_of_jen
Awesome for studying
This app has helped me a ton in class. Make sure to use the learn, quiz, and test features.