About OsteoMaster
Handheld preoperative planning tool for high tibial osteotomy (HTO) and distal femoral osteotomy (DFO).
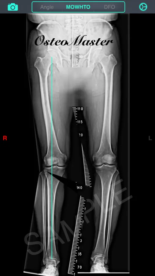
Features:
1. Measuring the anatomic or mechanical angles of bone, just input the image via camera or your photo library.
2. Calculating preoperative weight-bearing line (WBL) and planning target WBL.
3. Automatically calculating the correction angle, wedge height, sawing depth and leg length change for osteotomy.
4. Set expected WBL, correction angle, wedge height, MPTA or LDFA for planning
5. Planning with open or close wedge, medial or lateral cut
6. Simulating the correction results.
User's guide: https://goo.gl/ASXFeX
Demo video: https://youtu.be/gqgHerWtBr4
Features:
1. Measuring the anatomic or mechanical angles of bone, just input the image via camera or your photo library.
2. Calculating preoperative weight-bearing line (WBL) and planning target WBL.
3. Automatically calculating the correction angle, wedge height, sawing depth and leg length change for osteotomy.
4. Set expected WBL, correction angle, wedge height, MPTA or LDFA for planning
5. Planning with open or close wedge, medial or lateral cut
6. Simulating the correction results.
User's guide: https://goo.gl/ASXFeX
Demo video: https://youtu.be/gqgHerWtBr4