Telepathology Mobile System
VIRASOFT YAZILIM TICARET ANONIM SIRKETI
5.0 ★
rating
Free
About Telepathology Mobile System
The TelePath Mobile application developed by Virasoft allows you to transfer your glass biopsies to your phone, share the areas you are in doubt with the expert you want, save the slides for further consultation, and review the case remotely.
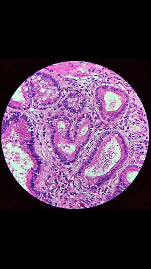
DIGITALIZE YOUR GLASS SLIDES
You can now easily consult digitized glass slides with your smartphone. For this, all you need to do is join the TelePath Mobile application via VIMO, our device that is specially designed for our application and compatible with all smartphone models.
VIMO
Our application is used with VIMO (Virasoft Mobile Apparatus). Since VIMO is designed to be compatible with all microscope lenses and all phone models, it is easily connected to the microscope and allows the phone to work synchronized with the microscope. You can easily connect the VIMO to your microscope.
ADD ANNOTATION TO YOUR CASES
You can use the cases with annotations as educational material. In the consultation, the areas that are desired to draw attention are annotated and highlighted. Consultation is carried out over the annotated parts. A note can be added to the annotated part of the visual. Virasoft aims to innovate in the field of pathology by bringing together pathological '' Know How '' and ITU engineering.
REMOVE LIMITS WITH TELEPATH MOBILE
TelePath Mobile application eliminates the physical processes required for consultation. Our innovative application in the field of telepathology complies with the Ministry of Health Information Security Legislation during the sharing of recorded data. You are safe with our system, which works in accordance with the Information Security Legislation published with the approval of the Ministry of Health Information Security Policies dated 28/02/2014 and numbered 5181.1272.
THE MOST RELIABLE AND EASY WAY TO SHARE CASE
Mail, transfer and daily messaging applications used for the sharing method compress images and cause image loss. TelePath Mobile application performs lossless image transfer. The luminance and contrast values of the microscope in digital images vary in the transfer. TelePath Mobile app optimizes the light level according to the microscope.
CHOOSE THE MOST EFFECTIVE CONSULTATION FOR FROZEN
TelePath Mobile application is a project developed with the guidance of expert teams, with the contributions of Istanbul Technical University. The application allows you to perform the consultation of the frozen process taken during the operation anytime, anywhere.
EXAMINE YOUR CASES ANYWHERE ANYTIME
You can do case studies from your phone, tablet and computer anytime, anywhere. With the TelePath Mobile application, you can access any recorded case. TelePath Mobile records every case image in high resolution, so there is no data loss during transmission.
MORE THAN A MOBILE APPLICATION, TELEPATH, THE EASIEST WAY TO COMMUNICATE TO THE EXPERTS
The digital image captured by the TelePath Mobile application is 30% larger than the image taken by digital camera microscopes. In this way, it allows you to examine glass slide images in a better way.
DIGITALIZE YOUR GLASS SLIDES
You can now easily consult digitized glass slides with your smartphone. For this, all you need to do is join the TelePath Mobile application via VIMO, our device that is specially designed for our application and compatible with all smartphone models.
VIMO
Our application is used with VIMO (Virasoft Mobile Apparatus). Since VIMO is designed to be compatible with all microscope lenses and all phone models, it is easily connected to the microscope and allows the phone to work synchronized with the microscope. You can easily connect the VIMO to your microscope.
ADD ANNOTATION TO YOUR CASES
You can use the cases with annotations as educational material. In the consultation, the areas that are desired to draw attention are annotated and highlighted. Consultation is carried out over the annotated parts. A note can be added to the annotated part of the visual. Virasoft aims to innovate in the field of pathology by bringing together pathological '' Know How '' and ITU engineering.
REMOVE LIMITS WITH TELEPATH MOBILE
TelePath Mobile application eliminates the physical processes required for consultation. Our innovative application in the field of telepathology complies with the Ministry of Health Information Security Legislation during the sharing of recorded data. You are safe with our system, which works in accordance with the Information Security Legislation published with the approval of the Ministry of Health Information Security Policies dated 28/02/2014 and numbered 5181.1272.
THE MOST RELIABLE AND EASY WAY TO SHARE CASE
Mail, transfer and daily messaging applications used for the sharing method compress images and cause image loss. TelePath Mobile application performs lossless image transfer. The luminance and contrast values of the microscope in digital images vary in the transfer. TelePath Mobile app optimizes the light level according to the microscope.
CHOOSE THE MOST EFFECTIVE CONSULTATION FOR FROZEN
TelePath Mobile application is a project developed with the guidance of expert teams, with the contributions of Istanbul Technical University. The application allows you to perform the consultation of the frozen process taken during the operation anytime, anywhere.
EXAMINE YOUR CASES ANYWHERE ANYTIME
You can do case studies from your phone, tablet and computer anytime, anywhere. With the TelePath Mobile application, you can access any recorded case. TelePath Mobile records every case image in high resolution, so there is no data loss during transmission.
MORE THAN A MOBILE APPLICATION, TELEPATH, THE EASIEST WAY TO COMMUNICATE TO THE EXPERTS
The digital image captured by the TelePath Mobile application is 30% larger than the image taken by digital camera microscopes. In this way, it allows you to examine glass slide images in a better way.
Telepathology Mobile System Screenshots
Tap to Rate: