FemoralAnteversionApp
ORTHOPRACTIS.COM SINGLE MEMBER P.C.
$13.99
About FemoralAnteversionApp
Femoral anteversion is defined by the angle of the femoral neck in relation to the femoral shaft in the coronal plane. Femoral rotational malalignment is associated with pain and functional disability, hip impingement and instability. Measurement of anteversion of the femoral neck is an important component of surgical planning, for femoral osteotomy in patients with cerebral palsy or developmental dysplasia of the hip and total hip replacement surgery. In-toeing gait due to excessive femoral anteversion is common entity in outpatient children clinics.The in-toeining is usually resolved spontaneously but there are children after 8 years of age that the in-toeing fails to correct spontaneously and objective monitoring is important. Normal values according to patients age especially in clinical settings are hard to be remembered. Monitoring of Femoral Antetorsion is indicated especially in cases with torsional malalignment syndromes and cerebral palsy .
Numerous studies on the measurement of femoral torsion have been published with different method. The amount of anteversion of the hip usually is measured with computed tomography (CT) scan. The modified Budin view (posteroanterior hip radiograph obtained in the sitting position with the patient facing the film in 90° flexion of the hip and knee with the hip abducted by 30° ) offers a way to measure anteversion by simple x ray without the use of CT and thus reducing radiation exposure and patient cost.
The App is medical software aimed for orthopaedic surgeons, providing tools that allow doctors to:
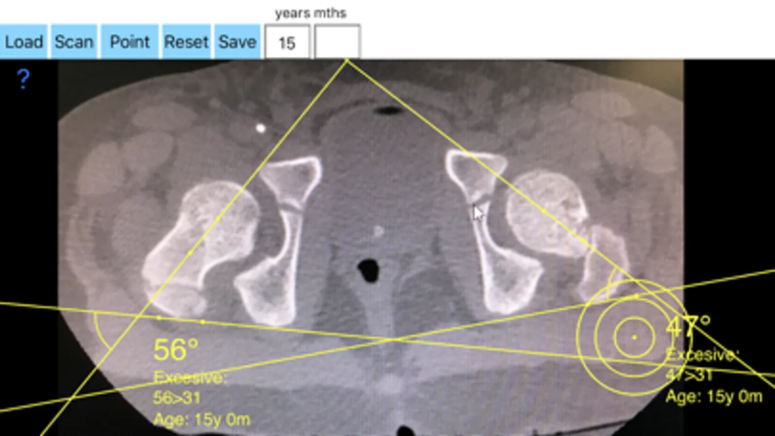
-Securely import medical images directly from the camera or stored photos.
-By marking few points at the image of X-ray, the App calculates and offers a very convenient way to determine the most accurate possibly way at once.
-Save the planned images, for later review or consultation.The measured values are compared by normal reference databases according to age of the patient and help decide what are pathologic or normal.
- data are exported as txt file, ready to print or to input as cells to excel for research or monitor accurately the angle in serial x-rays
-The app allows choosing points in x rays in an in independent manner from order and also can be used to measure the angles- irrelevant of the method- images from CT or from simple X-ray respectively.
All information received from the software output must be clinically reviewed regarding its plausibility before patient treatment! The App is indicated for assisting healthcare professionals. Clinical judgment and experience are required to properly use the software.The software is not for primary image interpretation.
In a busy everyday practice, the examiner have to draw lines in X-rays or in clinical settings, this it is time consuming and cumbersome. Accessory instruments like protractors, hinged goniometers, well sharped pencils, rulers or even transparent papers must be available. The app offers a very convenient and accurate way to perform most common radiographic measurements in a blink of an eye in front of your screen. The build in feature of the app, allows results to be categorized ( increased anterversion, excessive anteversion, decreased anteversion, or retroversion) according patient’s age by comparing the data with normal reference database, this feature may help decide what could be considered normal or pathologic.
The app is not a simple goniometer, is an enhanced product which helps to monitor objectively the course of the treatment and evaluate optimally the hip. This App is particular useful in clinical settings where you need a quick results without losing time. Please see tutorial videos at the developer’s web site www.orthopractis.com
References
1.Boissonneault AR, et al. Radiographic Alternative to Computed Tomography for the Measurement of Femoral Anteversion: A Method-Comparison Study. J Arthroplasty. 2017 Mar;32(3):1018-1023.
.
Numerous studies on the measurement of femoral torsion have been published with different method. The amount of anteversion of the hip usually is measured with computed tomography (CT) scan. The modified Budin view (posteroanterior hip radiograph obtained in the sitting position with the patient facing the film in 90° flexion of the hip and knee with the hip abducted by 30° ) offers a way to measure anteversion by simple x ray without the use of CT and thus reducing radiation exposure and patient cost.
The App is medical software aimed for orthopaedic surgeons, providing tools that allow doctors to:
-Securely import medical images directly from the camera or stored photos.
-By marking few points at the image of X-ray, the App calculates and offers a very convenient way to determine the most accurate possibly way at once.
-Save the planned images, for later review or consultation.The measured values are compared by normal reference databases according to age of the patient and help decide what are pathologic or normal.
- data are exported as txt file, ready to print or to input as cells to excel for research or monitor accurately the angle in serial x-rays
-The app allows choosing points in x rays in an in independent manner from order and also can be used to measure the angles- irrelevant of the method- images from CT or from simple X-ray respectively.
All information received from the software output must be clinically reviewed regarding its plausibility before patient treatment! The App is indicated for assisting healthcare professionals. Clinical judgment and experience are required to properly use the software.The software is not for primary image interpretation.
In a busy everyday practice, the examiner have to draw lines in X-rays or in clinical settings, this it is time consuming and cumbersome. Accessory instruments like protractors, hinged goniometers, well sharped pencils, rulers or even transparent papers must be available. The app offers a very convenient and accurate way to perform most common radiographic measurements in a blink of an eye in front of your screen. The build in feature of the app, allows results to be categorized ( increased anterversion, excessive anteversion, decreased anteversion, or retroversion) according patient’s age by comparing the data with normal reference database, this feature may help decide what could be considered normal or pathologic.
The app is not a simple goniometer, is an enhanced product which helps to monitor objectively the course of the treatment and evaluate optimally the hip. This App is particular useful in clinical settings where you need a quick results without losing time. Please see tutorial videos at the developer’s web site www.orthopractis.com
References
1.Boissonneault AR, et al. Radiographic Alternative to Computed Tomography for the Measurement of Femoral Anteversion: A Method-Comparison Study. J Arthroplasty. 2017 Mar;32(3):1018-1023.
.