******************************************************
Best Radiology Mobile App 2015 by AuntMinnie.com
******************************************************
After winning "Best Radiology Mobile app" 2015, CT Anatomy was nominated again, for "Best Radiology Mobile App" 2016 by AuntMinnie.com!
(Thank you all for your votes and trust!)
15 modules included:
Anatomy of the BRAIN, SKULL BASE, NECK, THORAX (mediastinum AND lungs), HEART (Cardiac CT/coronary arteries), ABDOMEN, PELVIS (male AND female), LOWER and UPPER EXTREMITIES (Femur, Knee, Ankle, Shoulder, Elbow and Wrist).
* MPR views (Coronal) of the Thorax, Abdomen and Pelvis (male) also available
The most comprehensive CT Anatomy Atlas in the AppStore
*** Recommended by the independent review site iMedicalApps.com:
"CT Anatomy is a useful radiology app that helps educate the user on normal human anatomy seen on the CT. It is great for learning general anatomy or showing patients a normal CT scan for comparison. The app has a full body CT scan and uses color coded pins to label the anatomic structures."
* http://www.auntminnie.com/index.aspx?sec=nws&sub=rad&pag=dis&ItemID=112160
**(http://www.imedicalapps.com/2013/02/ct-anatomy-app-full-body-ct/#comment-66505)
Don't settle for less.
Go with the Professionals!
Created by Professors of Anatomy and Physicians.
CT Anatomy is a cross-sectional CT axial anatomy guide.
Simple, intuitive and beautiful interface.
FEATURING:
• FollowMe™ mode. Select and follow any anatomical structure throughout its course.
• QuizMe™ mode. Test your anatomy skills.
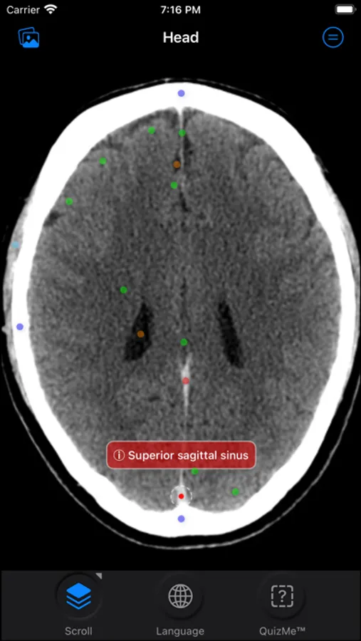
• AboutMe™: Detailed description for EVERY anatomical structure appearing in the app.
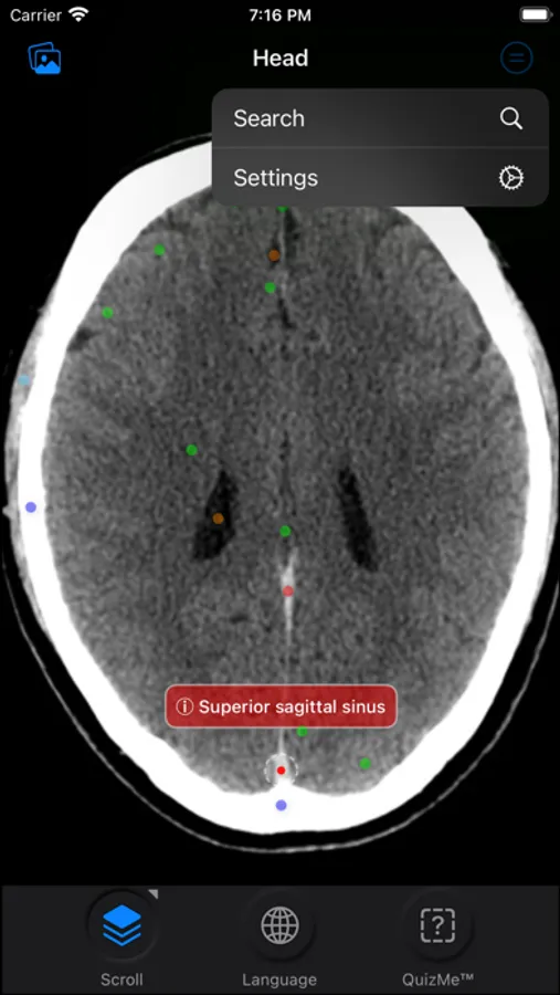
• SearchMe™: Search and locate anatomical structures with ease.
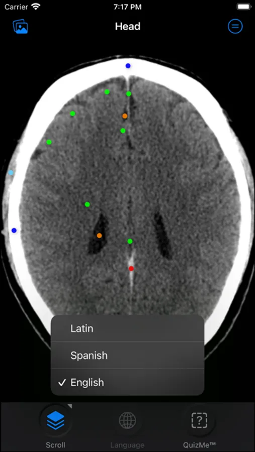
• English/Spanish and Latin nomenclature.
• Color coded anatomical structures.
• More than 550 CT views with anatomy.
• More than 700 anatomical structures with detailed descriptions.
• Advance one image at time or scroll fast with your finger.
• Use two fingers to pan
• Scalable Hi-Res CT images.
• MPR (coronal) reformats of the Thorax, Abdomen and Pelvis
Great reference tool for students, doctors and medical professionals. Learn CT Anatomy on your iPhone or your iPad.
Stay tuned for more
;)
www.icat.solutions
Best Radiology Mobile App 2015 by AuntMinnie.com
******************************************************
After winning "Best Radiology Mobile app" 2015, CT Anatomy was nominated again, for "Best Radiology Mobile App" 2016 by AuntMinnie.com!
(Thank you all for your votes and trust!)
15 modules included:
Anatomy of the BRAIN, SKULL BASE, NECK, THORAX (mediastinum AND lungs), HEART (Cardiac CT/coronary arteries), ABDOMEN, PELVIS (male AND female), LOWER and UPPER EXTREMITIES (Femur, Knee, Ankle, Shoulder, Elbow and Wrist).
* MPR views (Coronal) of the Thorax, Abdomen and Pelvis (male) also available
The most comprehensive CT Anatomy Atlas in the AppStore
*** Recommended by the independent review site iMedicalApps.com:
"CT Anatomy is a useful radiology app that helps educate the user on normal human anatomy seen on the CT. It is great for learning general anatomy or showing patients a normal CT scan for comparison. The app has a full body CT scan and uses color coded pins to label the anatomic structures."
* http://www.auntminnie.com/index.aspx?sec=nws&sub=rad&pag=dis&ItemID=112160
**(http://www.imedicalapps.com/2013/02/ct-anatomy-app-full-body-ct/#comment-66505)
Don't settle for less.
Go with the Professionals!
Created by Professors of Anatomy and Physicians.
CT Anatomy is a cross-sectional CT axial anatomy guide.
Simple, intuitive and beautiful interface.
FEATURING:
• FollowMe™ mode. Select and follow any anatomical structure throughout its course.
• QuizMe™ mode. Test your anatomy skills.
• AboutMe™: Detailed description for EVERY anatomical structure appearing in the app.
• SearchMe™: Search and locate anatomical structures with ease.
• English/Spanish and Latin nomenclature.
• Color coded anatomical structures.
• More than 550 CT views with anatomy.
• More than 700 anatomical structures with detailed descriptions.
• Advance one image at time or scroll fast with your finger.
• Use two fingers to pan
• Scalable Hi-Res CT images.
• MPR (coronal) reformats of the Thorax, Abdomen and Pelvis
Great reference tool for students, doctors and medical professionals. Learn CT Anatomy on your iPhone or your iPad.
Stay tuned for more
;)
www.icat.solutions
Show More