About EchoRight Pro
EchoRight Pro is an upgraded version of EchoRight created for cardiologists, echocardiographers, and sonographers to help learn the echocardiographic signs of pulmonary hypertension (PH).
Pulmonary hypertension is a condition that encompasses a group of severe clinical diseases, such as pulmonary arterial hypertension (PAH) and chronic thromboEmbolic pulmonary hypertension (CTEPH).
EchoRight Pro is an advanced version of EchoRight enriched with additional cases, different levels of difficulty and pitfalls to address advanced learning objectives in cardiology.
It is an easy-to-use educational app with a gaming approach.
By evaluating real-world case descriptions with the EchoRight app you will learn:
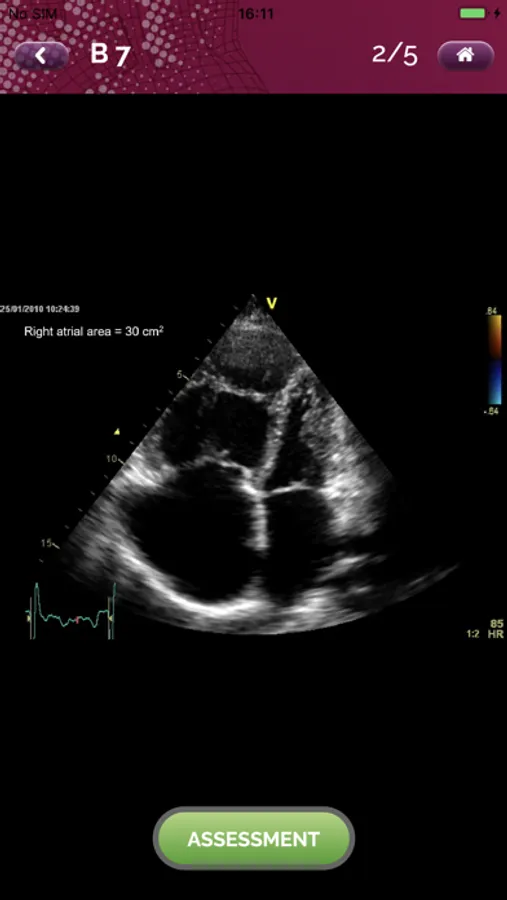
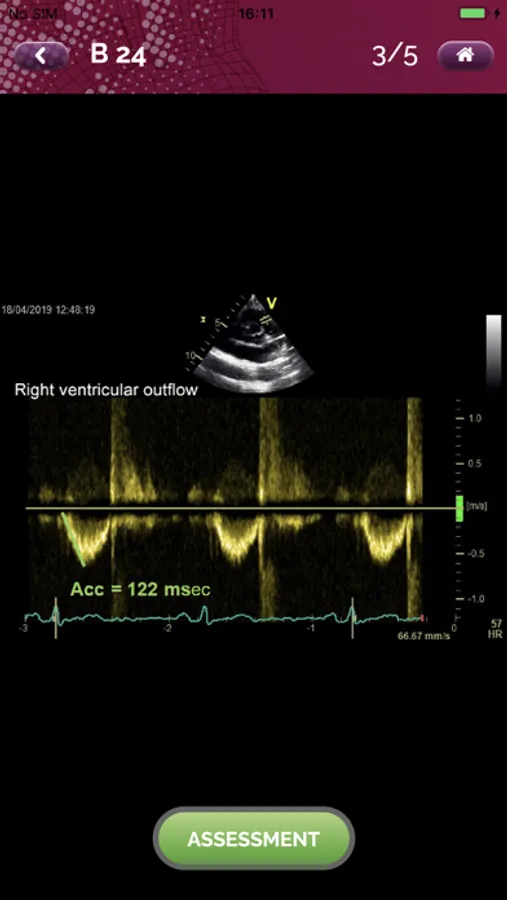
· The importance and relevance of a systematic examination of the right heart during echocardiography, the most important non-invasive screening tool for PH
· The guidance on right heart examination and how to interpret the findings
· The key parameters for identifying the 8 PH signs and assessing the probability of PH
The medical content of this app was developed by a Scientific Committee of leading experts experienced in the management of PH:
· Fabrice Bauer, MD, PhD (Cardiology Department, Rouen University Hospital, Rouen, FR)
· Pascal De Groote, MD (Cardiology Department, Lille University Hospital, Lille, FR)
· Gilbert Habib, MD (Cardiology Department, La Timone Hospital, Marseille, FR)
· Pamela Moceri, MD, PhD (Cardiology Department, Nice University Hospital, Nice, FR)
Pulmonary hypertension is a condition that encompasses a group of severe clinical diseases, such as pulmonary arterial hypertension (PAH) and chronic thromboEmbolic pulmonary hypertension (CTEPH).
EchoRight Pro is an advanced version of EchoRight enriched with additional cases, different levels of difficulty and pitfalls to address advanced learning objectives in cardiology.
It is an easy-to-use educational app with a gaming approach.
By evaluating real-world case descriptions with the EchoRight app you will learn:
· The importance and relevance of a systematic examination of the right heart during echocardiography, the most important non-invasive screening tool for PH
· The guidance on right heart examination and how to interpret the findings
· The key parameters for identifying the 8 PH signs and assessing the probability of PH
The medical content of this app was developed by a Scientific Committee of leading experts experienced in the management of PH:
· Fabrice Bauer, MD, PhD (Cardiology Department, Rouen University Hospital, Rouen, FR)
· Pascal De Groote, MD (Cardiology Department, Lille University Hospital, Lille, FR)
· Gilbert Habib, MD (Cardiology Department, La Timone Hospital, Marseille, FR)
· Pamela Moceri, MD, PhD (Cardiology Department, Nice University Hospital, Nice, FR)
EchoRight Pro Screenshots
Tap to Rate: