Turnuslegens ABC er en metodebok for turnusleger i akuttmottak og på legevakt.
Den tar for seg en rekke vanlige tilstander, med de viktigste punktene man bør få frem under anamnesen, undersøkelsen og hvilke tiltak som kan iverksettes.
Appen er organisert etter faggruppene: medisin, kirurgi, gynekologi, ortopedi og psykiatri.
I tillegg finner man rikelig med ressurser og verktøy som medisinke kalkulatorer, algoritmer, referanseverdier, gipsteknikk, antibiotika, journaleksempler og ICD10 koder for alle tilstandene som omtales.
Man kan også søke etter emner direkte i hovedmenyen.
Følgede tema dekkes i Turnuslegens ABC:
ABCD2-kalkulator
AV-blokk
Abdominalt aortaaneurisme
Abort (spontan)
Abscess
Achillesskade
Akromioclavicular (AC) luksasjon
Akutt abdomen
Akutt skrotum
Albue, brudd humerus
Albue, pulled elbow
Anafylaksi
Anemi
Anion gap
Ankel, brudd
Ankel, ligamentskade
Antibiotika i primærhelsetjenesten
Anthonisen-kriterier
Aortadisseksjon
Arytmier
Atrieflimmer
Azitromycin (Azitromax)
Bartholinitt
Blindtarmbetennelse
Brannskade
Brokk
Brystsmerter
CHA2DS2Vasc
CHADS2
CT caput
Candida Albicans
Cefaleksin (Keflex)
Cefotaksim
Ceftriaxon
Cefuroksim (Zinacef)
Ciprofloksacin (Ciproxin)
Collar'n cuff (CC)
CURB65
Dehydrering
Delirium
Dermatomer
Diabetes
Divertikulitt
Doksycyklin (Doxylin)
Dyp venetrombose
EKG
EKG, referanseverdier
EKG-linjal
Ekstrauterin graviditet
Epikrise
Epilepsi
Erysipelas
Erythromycin (Ery-max)
Escherichia Coli
Fremmedlegeme i GI-traktus
Frostskade
Førstehjelp (HLR)
GCS
GFR-kalkulator
Galleblærebetennelse
Gallesten
Gentamicin (Gensumycin)
Glasgow Coma Scale
Graviditet
Gynekologisk journal
HAS-BLED
HLR-rytme 100/min
HLR-sløyfe barn
HLR-sløyfe voksne
Haemophilus Influenzae
Hematemese
Hemoroider
Herpesvira
Hjerteinfarkt
Hjertesvikt
Hodeskade
Huggormbitt
Humerus, brudd skaft
Hypertensiv krise
Hyponatremi
Hypotermi
Håndledd, brudd
Høyde barn 0-5 år
Ileus
Inndeling av bakterier
Innkomstjournal
Intox
Intox Paracetamol
KOLS
Klindamycin (Dalacin)
Kloksacillin (Diclocil)
Kloramfenikol
Kne, undersøkelse
Kraveben, brudd
Kroppsmasseindeks
Laboratorieprøver
Lungeemboli
Lårhals, brudd (FCF)
MADRS-kalkulator
MRSA
Magesår
Marevandosering, avvik
Marevandosering, oppstart
Mastitt
Mecillinam (Selexid)
Melena
Meningitt
Metacarp, brudd
Metacarpgips (kamgips)
Metronidazol (Flagyl)
NIH Stroke Scale
Nakkeskade
Nese, brudd
Neseblødning
Nevrologisk undersøkelse
NYHA
Nyresten
Nyresvikt
Nødtrakeostomi
Obstipasjon
Ofloksacin
Opioider, ekvivalente døgndoser
Osteomyelitt
Pankreatitt
Pediatrisk journal
Penicillin
Pneumoni
Pneumothorax
Pseudomonas Aeruginosa
Psykiatrisk innkomstjournal
Psykomotorisk utvikling
Psykose
Radiuslaske
Rektalblødning
Rhabdomyolyse
Ribbein, brudd
Ryggsmerter
Røntgen abdomen
Røntgen albue
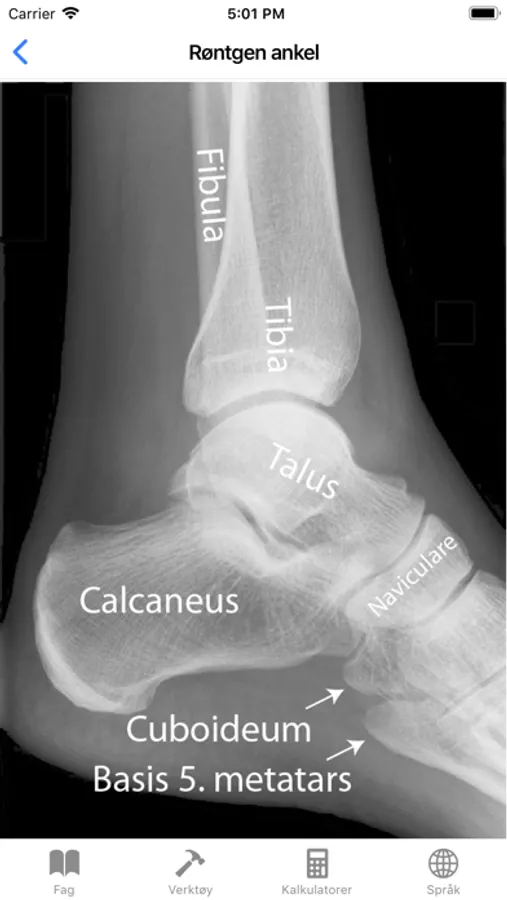
Røntgen ankel
Røntgen hofte og bekken
Røntgen håndledd
Røntgen håndrot
Røntgen kne
Røntgen skulder
Røntgen thorax
Salter-Harris klassifikasjon
Scaphoideum, brudd
Scaphoidgips
Seksuelt overgrep
Selvskading
Sepsis
Septisk artritt
Skulder, brudd humerus
Skulder, luksasjon
Slag
Spirometri, forkortelser
Spirometri, referanseverdier
Staphylococcus Albicans
Staphylococcus Aureus
Streptokokker
Støvelgips
Suicidalvurdering
Sutur
Svangerskap, termin
Svangerskapsforgiftning
Syning av lik
Synkope
Syre- og baseforstyrrelser
Sår og sårskader
TIA
Tetracyklin
Tobramycin (Nebcina)
Tommelgips
Trimetoprim-sulfametoksazol
Trombolyse ved STEMI
Trombolyse ved hjerneinfarkt
Tvangsinnleggelse
Underarm, brudd
Urinveisinfeksjon
Vaginalblødning
Vaksinasjonsprogrammet
Vekt barn 0-5 år
Vertigo
Vitale parametre
Wells score
Den tar for seg en rekke vanlige tilstander, med de viktigste punktene man bør få frem under anamnesen, undersøkelsen og hvilke tiltak som kan iverksettes.
Appen er organisert etter faggruppene: medisin, kirurgi, gynekologi, ortopedi og psykiatri.
I tillegg finner man rikelig med ressurser og verktøy som medisinke kalkulatorer, algoritmer, referanseverdier, gipsteknikk, antibiotika, journaleksempler og ICD10 koder for alle tilstandene som omtales.
Man kan også søke etter emner direkte i hovedmenyen.
Følgede tema dekkes i Turnuslegens ABC:
ABCD2-kalkulator
AV-blokk
Abdominalt aortaaneurisme
Abort (spontan)
Abscess
Achillesskade
Akromioclavicular (AC) luksasjon
Akutt abdomen
Akutt skrotum
Albue, brudd humerus
Albue, pulled elbow
Anafylaksi
Anemi
Anion gap
Ankel, brudd
Ankel, ligamentskade
Antibiotika i primærhelsetjenesten
Anthonisen-kriterier
Aortadisseksjon
Arytmier
Atrieflimmer
Azitromycin (Azitromax)
Bartholinitt
Blindtarmbetennelse
Brannskade
Brokk
Brystsmerter
CHA2DS2Vasc
CHADS2
CT caput
Candida Albicans
Cefaleksin (Keflex)
Cefotaksim
Ceftriaxon
Cefuroksim (Zinacef)
Ciprofloksacin (Ciproxin)
Collar'n cuff (CC)
CURB65
Dehydrering
Delirium
Dermatomer
Diabetes
Divertikulitt
Doksycyklin (Doxylin)
Dyp venetrombose
EKG
EKG, referanseverdier
EKG-linjal
Ekstrauterin graviditet
Epikrise
Epilepsi
Erysipelas
Erythromycin (Ery-max)
Escherichia Coli
Fremmedlegeme i GI-traktus
Frostskade
Førstehjelp (HLR)
GCS
GFR-kalkulator
Galleblærebetennelse
Gallesten
Gentamicin (Gensumycin)
Glasgow Coma Scale
Graviditet
Gynekologisk journal
HAS-BLED
HLR-rytme 100/min
HLR-sløyfe barn
HLR-sløyfe voksne
Haemophilus Influenzae
Hematemese
Hemoroider
Herpesvira
Hjerteinfarkt
Hjertesvikt
Hodeskade
Huggormbitt
Humerus, brudd skaft
Hypertensiv krise
Hyponatremi
Hypotermi
Håndledd, brudd
Høyde barn 0-5 år
Ileus
Inndeling av bakterier
Innkomstjournal
Intox
Intox Paracetamol
KOLS
Klindamycin (Dalacin)
Kloksacillin (Diclocil)
Kloramfenikol
Kne, undersøkelse
Kraveben, brudd
Kroppsmasseindeks
Laboratorieprøver
Lungeemboli
Lårhals, brudd (FCF)
MADRS-kalkulator
MRSA
Magesår
Marevandosering, avvik
Marevandosering, oppstart
Mastitt
Mecillinam (Selexid)
Melena
Meningitt
Metacarp, brudd
Metacarpgips (kamgips)
Metronidazol (Flagyl)
NIH Stroke Scale
Nakkeskade
Nese, brudd
Neseblødning
Nevrologisk undersøkelse
NYHA
Nyresten
Nyresvikt
Nødtrakeostomi
Obstipasjon
Ofloksacin
Opioider, ekvivalente døgndoser
Osteomyelitt
Pankreatitt
Pediatrisk journal
Penicillin
Pneumoni
Pneumothorax
Pseudomonas Aeruginosa
Psykiatrisk innkomstjournal
Psykomotorisk utvikling
Psykose
Radiuslaske
Rektalblødning
Rhabdomyolyse
Ribbein, brudd
Ryggsmerter
Røntgen abdomen
Røntgen albue
Røntgen ankel
Røntgen hofte og bekken
Røntgen håndledd
Røntgen håndrot
Røntgen kne
Røntgen skulder
Røntgen thorax
Salter-Harris klassifikasjon
Scaphoideum, brudd
Scaphoidgips
Seksuelt overgrep
Selvskading
Sepsis
Septisk artritt
Skulder, brudd humerus
Skulder, luksasjon
Slag
Spirometri, forkortelser
Spirometri, referanseverdier
Staphylococcus Albicans
Staphylococcus Aureus
Streptokokker
Støvelgips
Suicidalvurdering
Sutur
Svangerskap, termin
Svangerskapsforgiftning
Syning av lik
Synkope
Syre- og baseforstyrrelser
Sår og sårskader
TIA
Tetracyklin
Tobramycin (Nebcina)
Tommelgips
Trimetoprim-sulfametoksazol
Trombolyse ved STEMI
Trombolyse ved hjerneinfarkt
Tvangsinnleggelse
Underarm, brudd
Urinveisinfeksjon
Vaginalblødning
Vaksinasjonsprogrammet
Vekt barn 0-5 år
Vertigo
Vitale parametre
Wells score
Show More