AppRecs review analysis
AppRecs rating 4.0. Trustworthiness 82 out of 100. Review manipulation risk 24 out of 100. Based on a review sample analyzed.
★★★★☆
4.0
AppRecs Rating
Ratings breakdown
5 star
67%
4 star
0%
3 star
17%
2 star
0%
1 star
17%
What to know
✓
Low review manipulation risk
24% review manipulation risk
✓
Credible reviews
82% trustworthiness score from analyzed reviews
✓
Good user ratings
67% positive sampled reviews
About Visage Ease
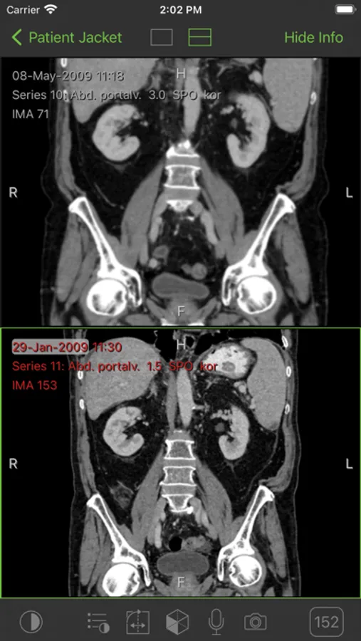
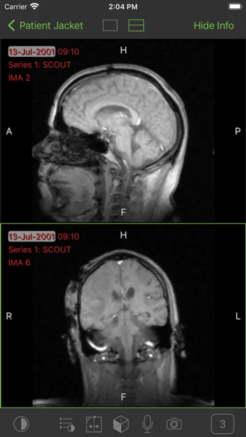
Using Visage Ease you can view radiologic images that are stored on a Visage 7 server on your iPad, iPhone, and iPod Touch.
Please note that this app requires access to a Visage 7 server, e.g. in your clinic, practice, or via your radiology provider. Without access to a server, you will not be able to view any images.
Visage Ease provides you with immediate server-based access to DICOM images without cumbersome image transfer. Use the app for patient education and for illustrating findings in the diagnostic report.
Radiology providers use the Visage 7 server in conjunction with Visage Ease to provide their referring physicians with efficient access to key images as well as original images. Compared to printed film or patient CDs, the Visage 7 solution provides a much richer and much more efficient means of communication.
Visage 7 is the world’s first diagnostic imaging solution based entirely on efficient thin client streaming technology. Visage scales easily from a single radiology practice to large distributed healthcare enterprises. Visage allows efficient viewing, processing, and archiving of very large amounts of images, including thin slice volumetric data from CT, MR, PET-CT, and other 3D modalities.
The Visage Ease App is not a medical device and must not be used for diagnosis.
A "Getting Started" document is available here: http://www.visageimaging.com/e-labeling
Please note that this app requires access to a Visage 7 server, e.g. in your clinic, practice, or via your radiology provider. Without access to a server, you will not be able to view any images.
Visage Ease provides you with immediate server-based access to DICOM images without cumbersome image transfer. Use the app for patient education and for illustrating findings in the diagnostic report.
Radiology providers use the Visage 7 server in conjunction with Visage Ease to provide their referring physicians with efficient access to key images as well as original images. Compared to printed film or patient CDs, the Visage 7 solution provides a much richer and much more efficient means of communication.
Visage 7 is the world’s first diagnostic imaging solution based entirely on efficient thin client streaming technology. Visage scales easily from a single radiology practice to large distributed healthcare enterprises. Visage allows efficient viewing, processing, and archiving of very large amounts of images, including thin slice volumetric data from CT, MR, PET-CT, and other 3D modalities.
The Visage Ease App is not a medical device and must not be used for diagnosis.
A "Getting Started" document is available here: http://www.visageimaging.com/e-labeling
Visage Ease Screenshots
Tap to Rate:
Reviews for Visage Ease
Ortho_surg
Great for doctors
I am an orthopaedic surgeon. This is the best iPhone app for viewing patient imaging I have seen across all the hospitals I’ve worked at. It’s simple and it “just works.”
FGE559
Terrible
Keeps crashing on my iPad