Biopsy Guide

Biopsy Guide icon

Biopsy Guide

Skyscraper Software GmbH

About Biopsy Guide

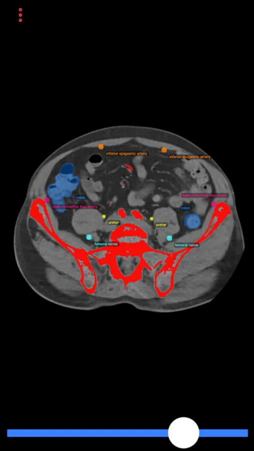
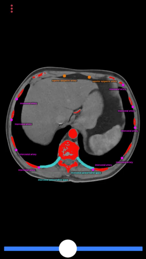
This app consists of body-CT scan (computer-tomography), which demonstrates possible puncture sides and anatomical structures to avoid during the interventions. The user can scroll through the cross sections of the CT scan to find the ideal puncture access.

This app can guide interventional and general radiologists, but also general practitioners or any diagnostic doctor to perform a safe biopsy or drainage catheter placement without injuring the patients.
Biopsy Guide Screenshots
Screenshot 1Screenshot 2Screenshot 3

Tap to Rate:

Similar to Biopsy Guide

©2023 Verdant Labs LLC. All rights reserved.

Privacy PolicyContact